WikiJournal of Medicine/Volume 1 Issue 2
WikiJournal of Medicine
Open access • Publication charge free • Public peer review • Wikipedia-integrated
|
VOLUME 1 (2014)
ISSUE 2
Previous issue
Author: Gwinyai Masukume
While rare, abdominal pregnancies have a higher chance of maternal mortality, perinatal mortality and morbidity compared to normal and ectopic pregnancies, but on occasion a healthy viable infant can be delivered. Because tubal, ovarian and broad ligament pregnancies are as difficult to diagnose and treat as abdominal pregnancies, their exclusion from the most common definition of abdominal pregnancy has been debated. Others - in the minority - are of the view that abdominal pregnancy should be defined by a placenta implanted into the peritoneum. doi: 10.15347/WJM/2014.012
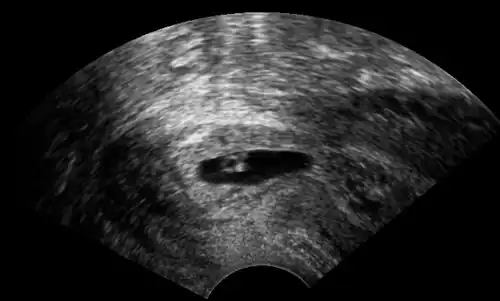
Author: Jesper Agrell
Ultrasonography of a cervical pregnancy. doi: 10.15347/WJM/2014.011
Author: Blausen.com staff
This is a gallery of images contributed to Wikimedia projects by Blausen Medical by 2014.
doi: 10.15347/WJM/2014.010
Author: David Richfield
This is a gallery of images contributed to Wikimedia projects by David Richfield by 2014
doi: 10.15347/WJM/2014.009
Author: Mikael Häggström
This is a gallery of medical images contributed by Mikael Häggström by 2014. doi: 10.15347/WJM/2014.008
Author: Ed Uthman
Image of a human embryo at 7th weeks of gestational age. doi: 10.15347/WJM/2014.007
Author: Salim Fadhley
Image of obstetricians performing a cesarean section. doi: 10.15347/WJM/2014.006
|
![]()
WikiJournal of Medicine
www.WikiJMed.org On social media
[]
2020:
2019:
2018:
|











