WikiJournal of Science
WikiJournal of Science
Open access • Publication charge free • Public peer review • Wikipedia-integrated
Previous
Volume 1(1)
Volume 1(2)
Volume 2(1)
Volume 3(1)
Volume 4(1)
Volume 5(1)
Volume 6(1)
|
The WikiJournal of Science is an open access, free-to-publish Wikipedia-integrated journal devoted to science in its broadest sense. It is part of the larger WikiJournal publishing group. Its function is to put articles through academic peer review for stable, citable versions, whose content can potentially benefit Wikipedia and other Wikimedia projects.
VOLUME 7 (2024)
ISSUE 1
Current issue
Author: Kholhring Lalchhandama
The Himalayan fossil hoax, or simply the Himalayan hoax, or the case of the peripatetic fossils, was perpetrated by an Indian geologist Vishwa Jit Gupta of Panjab University. Since his doctoral research in the early 1960s and the following two decades, Gupta worked on the geological and fossil studies of the Himalayan region, producing hundreds of research publications that were taken as fundamental to understanding the geology of the Himalayas. The Australian geologist John Talent of Macquarie University, who also worked on the geology of the Himalayas, found that Gupta's reports did not match those geological settings and the fossils were particularly odd, with some of them extraordinarily similar to those from other parts of the world. With Glenn Brock, Talent meticulously scrutinised Gupta's voluminous publications and revealed that Gupta had manipulated, faked, recycled, and plagiarised his data. [...] Early in 1978, Gilbert Klapper and Willi Ziegler had suspected foul play when they noticed that Gupta's conodont fossils were similar to those collected by George Jennings Hinde from Buffalo, New York, a century before. As Arun Deep Ahluwalia recalled, Gupta had faked conodont fossils by planting them in the Himalayan rock samples to impress Kiril Budurov in 1980. Gupta duped Philippe Janvier into describing a fish fossil as a new species in 1982, which Janvier later found was collected from China. Talent also discovered in 1986 that Gupta used Moroccan fossils available in a Paris shop to report the presence of ammonoid fossils in the Himalayas. Brock's investigation showed that Gupta's earliest publications including his doctoral thesis indicated plagiarised fossil pictures directly clipped from the 20th-century monographs of Frederick Richard Cowper Reed. Talent publicly revealed Gupta's anomalous fossils and geological inconsistencies at the International Symposium on the Devonian System held at Calgary, Canada, in 1987. His documented criticism was published in German serial Courier Forschungsinstitut Senckenberg the next year, but was not widely read. Dubbed the Himalayan peripatetic (misplaced) fossils, the case became global news in 1989 when Talent summarised the Courier story in Nature, with an associated journalistic investigation by Roger Lewin published in Science. It came to light that many of Gupta's Himalayan fossils were acquired from different parts of the world − some bought and some apparently stolen. Gupta had chosen "phantom localities" to attribute his fossil discoveries without ever visiting them. The University Grants Commission of India withdrew its funding to his research. Although suspended for 11 months, Panjab University continued his employment until his normal retirement in 2002. The case was described as "the biggest paleontological fraud of all time" by Talent and as the "greatest scientific fraud of the century" by the Indian magazine Down to Earth. doi: 10.15347/WJS/2024.008
Authors: Thanduanlung Kamei, Irene Ikiriko, Susan Abernathy, Amanda Rasmussen, Erin E Sparks
Brace roots (roots developing from aerial stem nodes) are a type of adventitious root that develop from aboveground stem nodes in many monocots. Brace roots may remain aerial or penetrate the soil as they perform root functions such as anchorage and resource acquisition. Although brace root development in soil or aerial environments influences function, a lot is still unknown about how their anatomy, architecture and development contributes to their function. This article summarizes the current state of knowledge on brace roots.
doi: 10.15347/WJS/2024.007
Author: Francesco Cattafi
In differential geometry, a field in mathematics, a Poisson manifold is a smooth manifold endowed with a Poisson structure. The notion of Poisson manifold generalises that of symplectic manifold, which in turn generalises the phase space from Hamiltonian mechanics. A Poisson structure (or Poisson bracket) on a smooth manifold is a function on the vector space of smooth functions on , making it into a Lie algebra subject to a Leibniz rule (also known as a Poisson algebra). Poisson structures on manifolds were introduced by André Lichnerowicz in 1977 and are named after the French mathematician Siméon Denis Poisson, due to their early appearance in his works on analytical mechanics.
doi: 10.15347/WJS/2024.006
Author: Richard Digirolamo
Play behaviour in non-avian reptiles is poorly understood compared to mammals and birds. No previous reports provide systematic data regarding play-like behavior in the third most popular non-avian pet reptile, the leopard gecko (Eublepharis macularius). Leopard geckos are known to engage with enrichment of novel items, and anecdotal observation by pet owners report high activity and play-like behaviour. An adult leopard gecko kept as a companion animal was provided with a running wheel to formally investigate possible play behaviour. Video recordings and a cycle counter attached to the running wheel were used to create an ethogram of one pet leopard gecko. The animal interacted with the wheel 16% of each measured day, in 11 wheel interaction episodes on average per measured day. The mean total distance measured by the cycle counter was 124 meters per measured day which surpasses the daily movement distance of some similar-sized diurnal lizards. The pattern of results indicates that the leopard gecko’s wheel use met all five previously established criteria for locomotion play, and showed that the leopard gecko to sometimes have high activity levels. These data suggest that when kept as a pet, given a running wheel or possibly other enrichment item, small reptiles such as leopard geckos engage in locomotion play. However, further studies with more individuals should be done to confirm this and investigate the possible physiological benefits of exercise.
非鳥類型爬虫類の遊び行動は、哺乳類や鳥類に比べてあまり理解されていない。また、非鳥類型爬虫類の中で、家庭用の愛玩動物として3番目に人気のあるヒョウモントカゲモドキ(Eublepharis macularius)の遊び行動に関する系統的なデータはこれまで報告されていない。ヒョウモントカゲモドキは目新しいものを与えることで興味を示すことが知られており、飼育者による逸話的観察によると、高い活動性と遊びのような行動が報告されている。当研究ではコンパニオンアニマルとして飼育されている成体のヒョウモントカゲモドキに回し車を与え、遊び行動の可能性を調査した。ヒョウモントカゲモドキ1匹のエソグラムを作成するために、ビデオ録画と回し車に取り付けたサイクルカウンターを使用した。その結果、各測定日の16%、1日平均11回の回し車とのインタラクションを行ったことが確認された。サイクルカウンターで測定された平均総距離は1日あたり124mで、これは同サイズの昼行性トカゲの1日の移動距離例を上回るものであった。この結果から、ヒョウモントカゲモドキの回し車の使用は、これまでに確立されているロコモーションによる遊びの5つの基準をすべて満たしており、ヒョウモントカゲモドキは時に高い活動レベルを持つことがわかった。これらのデータは、ペットとして飼育されているヒョウモントカゲモドキのような小型爬虫類に、回し車やその他のエンリッチメント・アイテムを与えることで、ロコモーションによる遊びを行うことを示唆している。ただし、当結果を最終的に結論づけること及び運動による生理学的な利点の可能性を調査するためには、より多くの個体でさらなる研究を行う必要がある。 doi: 10.15347/WJS/2024.005
Author: Tal Galili
In survey research, the design effect is a number that shows how well a sample of people may represent a larger group of people for a specific measure of interest (such as the mean). This is important when the sample comes from a sampling method that is different than just picking people using a simple random sample. The design effect is a positive real number, represented by the symbol . If , then the sample was selected in a way that is just as good as if people were picked randomly. When , then inference from the data collected is not as accurate as it could have been if people were picked randomly. When researchers use complicated methods to pick their sample, they use the design effect to check and adjust their results. It is also used when planning a study in order to figure out how many people should be in the sample.
doi: 10.15347/WJS/2024.004
Author: Aryan Kunkekar
The black-and-red broadbill (Cymbirhynchus macrorhynchos) is a species of bird in the Asian broadbill family, Eurylaimidae. It is the only species in the genus Cymbirhynchus. A large, distinctive bird, it has maroon underparts, black upperparts, a maroon half-collar covering the auricular regions, and white scapulars that form a white stripe on the wings at rest. It also has a large, two-colored, blue-and-yellow bill. The species shows slight sexual dimorphism, with females being smaller than males. No other bird in its range resembles it, though the black-and-yellow broadbill has a similar call. [...] It is found in Brunei, Cambodia, Indonesia, Laos, Malaysia, Myanmar, Singapore, Thailand, and Vietnam. Inhabiting lowland riparian forest throughout its range, it can also adapt quite well to disturbed habitat, such as secondary forest growth and degraded habitat near rivers. The black-and-red broadbill is mainly insectivorous, supplementing its diet with aquatic creatures such as mollusks, snails, fish, and crustaceans. It also takes leaves and seeds incidentally. Breeding takes place during the dry season throughout its range, with the nest being a large, conspicuous structure that usually hangs over water. Nests are built by both sexes, out of creepers, fungal hyphae, moss, and other plant matter. Eggs are laid in clutches of two to three, occasionally with a fourth runt egg, and incubated by both parents. The black-and-red broadbill is evaluated as a least-concern species by the International Union for Conservation of Nature due to its large range and the lack of a severe decrease in its global population. However, the species has experienced declines in several parts of its range, and may face threats due to deforestation, trapping for the songbird trade, and hunting. doi: 10.15347/WJS/2024.003
Authors: Enemuo Chidili Ijeoma, Okafor Emeka Christian, Okeke Somadina Nnamdi, Agulanna Ambrose Echefulachi, Ifeanacho Ezetaonu Abireh, Idorenyin Umoh, Kingsley Akaninyene Okon, Okara Andy-Davis Chidi, Ezejindu Damian Nnabuihe, Udodi Princewill Sopuluchukwu
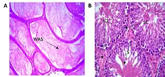
Background: Kunu is a local beverage drink that finds its origin in the northern part of Nigeria. This study was aimed at determining the effect of the liquid drink on the epididymis, testes, sperm parameters, and hormonal assay. [...] Methods: A total of sixteen rats were used for this study and the animals were separated into four groups of four rats each (A-D). The animals were then sacrificed and the testes and epididymis were harvested and fixed in 10% formal saline. Group A was fed only rat feed and water. Groups B, C, and D were fed 0.2 ml, 0.9 ml, and 2.5 ml of Kunu respectively orally using a metal cannula for 21 days. Findings: There was a significant increase (P<0.05) in the relative testicular weights of groups B, C, and D as compared with those of group A. There was a significant decrease (P<0.05) in sperm count in groups B, C, and D when compared to group A. There was an insignificant increase (P>0.05) in FSH in groups B, C, and D when compared to group A. The histopathological findings revealed that the group B rats of 0.2ml and group C rats of 0.9ml showed epididymal tissue with moderate accumulation of spermatozoa and testicular tubules with moderately enhanced spermatogenesis. The group D rats showed well-accumulated spermatozoa in the epididymal lumen and improved spermatogenesis in the testis as did group A. Conclusion: Kunu beverage may not be used as a natural male fertility booster since it does little to improve sperm count, motility, morphology, pH, and hormonal levels of FSH and testosterone. doi: 10.15347/WJS/2024.001
Author: Katsutoshi Seki
Bioclogging or biological clogging refers to the blockage of pore space in soil by microbial biomass, including active cells and their byproducts such as extracellular polymeric substance (EPS). The microbial biomass obstructs pore spaces, creating an impermeable layer in the soil and significantly reducing water infiltration rates. [...] Bioclogging occurs under continuous ponded infiltration at various field conditions such as artificial recharge ponds, percolation trenches, irrigation channels, sewage treatment systems, constructed wetlands, landfill liners and natural systems such as riverbeds and soils. It also affects groundwater flow in the aquifer, such as ground source heat pumps, permeable reactive barriers, and microbial enhanced oil recovery. Bioclogging is a significant problem where water infiltration is hampered and countermeasures such as regular drying of the system can reduce the levels of bioclogging. However, bioclogging can also serve beneficial purposes in specific conditions. For instance, bioclogging can be utilized to make an impermeable layer to minimize the rate of infiltration or to enhance soil mechanic properties. doi: 10.15347/WJS/2024.002
VOLUME 6 (2023)
ISSUE 1
Previous issue
Author: Alex O. Holcombe
In psychology and neuroscience, multiple object tracking (MOT) refers to the ability of humans and other animals to simultaneously monitor multiple objects as they move. It is also the term for a laboratory technique used to study this ability. In an MOT study, a number of identical moving objects are presented on a display. Some of the objects are designated as targets while the rest serve as distractors. Study participants try to monitor the changing positions of the targets as they and the distractors move about. At the end of the trial, participants typically are asked to indicate the final positions of the targets. The results of MOT experiments have revealed dramatic limitations on humans' ability to simultaneously monitor multiple moving objects. For example, awareness of features such as color and shape is disrupted by the objects' movement.
doi: 10.15347/WJS/2023.003
Authors: Dhananjay Bhattacharyya, Abhijit Mitra
Non-canonical base pairs are planar hydrogen bonded pairs of nucleobases, having hydrogen bonding patterns which differ from the patterns observed in Watson-Crick base pairs, as in the classic double helical DNA. The structures of polynucleotide strands of both DNA and RNA molecules can be understood in terms of sugar-phosphate backbones consisting of phosphodiester-linked D 2’ deoxyribofuranose (D ribofuranose in RNA) sugar moieties, with purine or pyrimidine nucleobases covalently linked to them. Here, the N9 atoms of the purines, guanine and adenine, and the N1 atoms of the pyrimidines, cytosine and thymine (uracil in RNA), respectively, form glycosidic linkages with the C1’ atom of the sugars. These nucleobases can be schematically represented as triangles with one of their vertices linked to the sugar, and the three sides accounting for three edges through which they can form hydrogen bonds with other moieties, including with other nucleobases. As also explained in greater details later in this article, the side opposite to the sugar linked vertex is traditionally called the Watson-Crick edge, since they are involved in forming the Watson-Crick base pairs which constitute building blocks of double helical DNA. The two sides adjacent to the sugar-linked vertex are referred to, respectively, as the Sugar and Hoogsteen (C-H for pyrimidines) edges. Each of the four different nucleobases are characterized by distinct edge-specific distribution patterns of their respective hydrogen bond donor and acceptor atoms, complementarity with which, in turn, define the hydrogen bonding patterns involved in base pairing. The double helical structures of DNA or RNA are generally known to have base pairs between complementary bases, Adenine:Thymine (Adenine:Uracil in RNA) or Guanine:Cytosine. They involve specific hydrogen bonding patterns corresponding to their respective Watson-Crick edges, and are considered as Canonical Base Pairs. At the same time, the helically twisted backbones in the double helical duplex DNA form two grooves, major and minor, through which the hydrogen bond donor and acceptor atoms corresponding respectively to the Hoogsteen and sugar edges are accessible for additional potential molecular recognition events. Experimental evidences reveal that the nucleotide bases are also capable of forming a wide variety of pairing between bases in various geometries, having hydrogen bonding patterns different from those observed in Canonical Base Pairs (Figure 1). These base pairs, which are generally referred to as Non-Canonical Base Pairs, are held together by multiple hydrogen bonds, and are mostly planar and stable. Most of these play very important roles in shaping the structure and function of different functional RNA molecules. In addition to their occurrences in several double stranded stem regions, most of the loops and bulges that appear in single-stranded RNA secondary structures form recurrent 3D motifs, where non-canonical base pairs play a central role. Non-canonical base pairs also play crucial roles in mediating the tertiary contacts in RNA 3D structures.
doi: 10.15347/WJS/2023.002
Author: Aryan Kunkekar
The black-and-yellow broadbill (Eurylaimus ochromalus) is a species of bird in the typical broadbill family Eurylaimidae. A small, distinctive species, it has a black head, breastband, and upperparts, a white neckband, yellow streaking on the back and wings, and wine-pink underparts that turn yellow towards the belly. The beak is bright blue, with a green tip to the upper mandible and black edges. It shows some sexual dimorphism, with the black breastband being incomplete in females. [...] Native to Brunei, Indonesia, Malaysia, Myanmar, Singapore, and Thailand, it inhabits evergreen forest, dipterocarp forest, swamp forest, heath forest, and forest edge, along with secondary forest and plantations that contain large trees. Mainly inhabiting lowlands, the species is found up to elevations of 1,220 m (4,000 ft). The black-and-yellow broadbill is mainly insectivorous, but also feeds on molluscs and incidentally takes fruit. The black-and-yellow broadbill breeds during the dry season throughout its range, with both sexes helping build a large, untidy, pear-shaped nest out of moss, fungal mycelia, and leaves. Eggs are laid in clutches of 2–3, sometimes containing a fourth runt egg, and are incubated by both sexes. The species is listed as near-threatened by the IUCN due to a decline in its population caused by habitat loss. doi: 10.15347/WJS/2023.001
VOLUME 5 (2022)
ISSUE 1
Previous issue
Authors: Michel Bakni, Sandra Hanbo
Internet Protocol version 4 (IPv4) is an internetwork protocol that is active at the internet layer according to the TCP/IP model, it was developed in 1981 within a project managed by Defense Advanced Research Projects Agency. In the following years, the use of IPv4 grew to dominate data networks around the world, becoming the backbone of the modern Internet. In this survey, we highlight the operation of the protocol, explain its header structure, and show how it provides the following functions: Quality of service control, host addressing, data packet fragmentation and reassembly, connection multiplexing, and source routing. Furthermore, we handle both address-related and fragmentation-related implementation problems, focusing on the IPv4 address space exhaustion and explaining the short and long terms proposed solutions. Finally, this survey highlights several auxiliary protocols that provide solutions to IPV, namely address resolution, error reporting, multicast management, and security.
doi: 10.15347/WJS/2022.002
Authors: William Lytle, Chelsea Schelly, Matthew Kelly, Mark Rudnicki, Zoe Ketola
This study examines the existing social license of the forest products industry in a rural community in Michigan, located in the northern midwestern United States. This is accomplished through a series of interviews with industry and community stakeholders, aimed at understanding how they view social license and its impacts. Perceptions of natural resource management and community relations are highly related to the community's history with industries, relationships with place, and perspectives on what work is of value. The results suggest that social license varies spatially, and it is the place-based context that allows local industry to have a higher degree of license than non-local industry actors. Thus, social license is spatially contingent, based on particular socio-spatial and historical contexts. In this paper, we articulate how this spatial and historical contextualization shapes perceptions of acceptable operating practices. This paper offers refinement of the concept of social license while also considering how natural resource based industries can successfully meet evolving management challenges when their social license may be vulnerable to disturbances. Having an adequate social license is an undeniable asset for industry, while an inadequate social license is a liability. Stakeholders have the ability to damage or halt industry operations, often with just cause in the face of natural resource extraction and exploitation. Our evaluation of social licenses intends to shed light on the conditions that precipitate such conflicts.
doi: 10.15347/WJS/2022.001
VOLUME 4 (2021)
ISSUE 1
Previous issue
Author: Matthew Fritz
The National Center for Science and Engineering Statistics (NCSES) is one of the thirteen principal statistical agencies of the United States and is tasked with providing objective data on the status of the science and engineering enterprise in the U.S. and other countries. NCSES sponsors or co-sponsors data collection on 15 surveys and produces two key publications: Science and Engineering Indicators, and Women, Minorities, and Persons with Disabilities in Science and Engineering. Though policy-neutral, the data and reports produced by NCSES are used by policymakers when making policy decisions regarding STEM education and research funding in the U.S. Given NCSES’s importance to the science and engineering community, raising awareness of NCSES and increasing participation by individuals in STEM fields is an important priority.
doi: 10.15347/WJS/2021.006
Author: Victor Padilla-Sanchez
Bacteriophage T4 is a virus that infects Escherichia coli, having dimensions of 90 nm in width and 200 nm in length (head and tail in extended form). It is a quite common model organism that has been studied for a century by many important virologists, and even Watson and Crick after their elucidation of DNA. Structural characterisation of the bacteriophage’s individual proteins began in the 1980s, and complexes of multiple proteins in the 1990s. However, it has not yet been possible to structurally characterise the complete phage in atomic detail (though some have begun to come closer) with multiple overall schematic models published. The increasing power of computers and the RCSB structural database have made possible the construction of a single combined model of the entire bacteriophage T4 organism with atomic resolution components as described here.
doi: 10.15347/WJS/2021.005
Author: Felix Richter
RNA-Seq, named as an abbreviation of "RNA sequencing" and sometimes spelled RNA-seq, RNAseq, or RNASeq, uses next-generation sequencing (NGS) to reveal the presence and quantity of ribonucleic acid (RNA) in a biological sample at a given moment. [...] RNA-Seq is used to analyze the continuously changing cellular transcriptome (Figure 1). Specifically, RNA-Seq facilitates the ability to look at alternative gene spliced transcripts, post-transcriptional modifications, gene fusion, mutations/single nucleotide polymorphisms (SNPs) and changes in gene expression over time, or differences in gene expression in different groups or treatments. In addition to messenger RNA (mRNA) transcripts, RNA-Seq can look at different populations of RNA to include total RNA, small RNA, such as microRNA (miRNA), transfer RNA (tRNA), and ribosomal profiling. RNA-Seq can also be used to determine exon/intron boundaries and verify or amend previously annotated 5' and 3' gene boundaries. Recent advances in RNA-Seq include single cell sequencing, in situ sequencing of fixed tissue, and native RNA molecule sequencing with single-molecule real-time sequencing. Prior to RNA-Seq, gene expression studies were done with hybridization-based microarrays. Issues with microarrays include cross-hybridization artifacts, poor quantification of lowly and highly expressed genes, and needing to know the sequence a priori. Because of these technical issues, transcriptomics transitioned to sequencing-based methods. These progressed from Sanger sequencing of Expressed Sequence Tag libraries, to chemical tag-based methods (e.g., serial analysis of gene expression), and finally to the current technology, next-gen sequencing of complementary DNA (cDNA), notably RNA-Seq. thumb|500px|left|Summary of RNA-Seq. Within the organism, genes are transcribed and (in a w:eukaryote|eukaryotic organism) spliced to produce mature mRNA transcripts (red). The mRNA is extracted from the organism, fragmented and reverse-transcribed into stable double-stranded (ds) cDNA (blue). The ds-cDNA is sequenced using high-throughput, short-read sequencing methods. These sequences can then be aligned to a reference genome sequence to reconstruct which genome regions were being transcribed. This data can be used to annotate where expressed genes are, their relative expression levels, and any alternative splice variants. doi: 10.15347/WJS/2021.004
Author: Joel B. Lewis
The affine symmetric group is a mathematical structure that describes the symmetries of the number line and the regular triangular tesselation of the plane, as well as related higher dimensional objects. It is an infinite extension of the symmetric group, which consists of all permutations (rearrangements) of a finite set. In addition to its geometric description, the affine symmetric group may be defined as the collection of permutations of the integers (..., −2, −1, 0, 1, 2, ...) that are periodic in a certain sense, or in purely algebraic terms as a group with certain generators and relations. These different definitions allow for the extension of many important properties of the finite symmetric group to the infinite setting, and are studied as part of the fields of combinatorics and representation theory.
doi: 10.15347/WJS/2021.003
Authors: Yingxuan Ma, Kim Johnson
Arabinogalactan-proteins (AGPs) are highly glycosylated proteins (glycoproteins) found in the cell walls of plants. AGPs account for only a small portion of the cell wall, usually no more than 1% of dry mass of the primary wall. AGPs are members of the hydroxyproline-rich glycoprotein (HRGP) superfamily that represent a large and diverse group of glycosylated wall proteins. AGPs have attracted considerable attention due to their highly complex structures and potential roles in signalling. In addition, they have industrial and health applications due to their chemical/physical properties (water-holding, adhesion and emulsification). Glycosylation can account for more than 90% of the total mass. [...] AGPs have been reported in a wide range of higher plants in seeds, roots, stems, leaves and inflorescences. They have also been reported in secretions of cell culture medium of root, leaf, endosperm and embryo tissues, and some exudate producing cell types such as stylar canal cells are capable of producing lavish amounts of AGPs. doi: 10.15347/WJS/2021.002
Authors: Rebecca Chastain, Daniel Taub
Female body shape has an apparent influence on mate value as perceived by males. Some researchers have suggested that human male mate preference has evolved to universally favor a specific body shape which can be quantified with a particular value for Waist-Hip Ratio and/or Body Mass Index. Other research has presented evidence that populations of males exhibit differentiated preferences for female body shape. The research literature largely supports the hypothesis that male mate preference for female body shape is variable and dependent upon local resource availability. These conclusions provide insight into the evolutionary processes that have acted to produce adaptive flexibility in human male mate preferences in accordance with the environment.
doi: 10.15347/WJS/2021.001
VOLUME 3 (2020)
ISSUE 1
Previous issue
Author: Boris Tsirelson
Contrary to popular misconception, the question in the title is far from simple. It involves sets of numbers on the first level, sets of sets of numbers on the second level, and so on, endlessly. The infinite hierarchy of the levels involved distinguishes the concept of "definable number" from such notions as "natural number", "rational number", "algebraic number", "computable number" etc.
doi: 10.15347/WJS/2020.008
Authors: Subir Sarker, Jade Forwood, Shane Raidal
The beak and feather disease virus (BFDV) causes psittacine beak and feather disease, an often chronic and fatal disease in psittacine birds. The virus most commonly infects psittacine birds, but is also capable of infecting non-psittacine bird species in Australasia. The virus induces an immunosuppressive condition with chronic symmetrical irreversible loss of feather, as well as beak and claw deformities eventually leading to death. No specific treatment is currently commercially available for infected birds; however, a combination of quarantine and hygiene control, diagnostic testing and enhancing flock adaptive immunity is recommended to provide the most effective and sustainable control. Recent structural determination of BFDV capsid protein provides insights into the different assemblies that can be formed from one of the smallest known DNA viruses.
doi: 10.15347/WJS/2020.007
Author: Keshab Magar
E-extension is an approach to agricultural knowledge extension through electronic technologies where online platforms such as web sites, mobile applications and social media are used. Low cost and high effectiveness suggest substantial future possibilities. Nepal's rapid increase in internet usage provides the potential to employ e-extension as a valuable mechanism in the prevailing system of agriculture extension, providing direct advantages to Nepalese farmers. Access to e-extension enables timely updates to newer technologies, information and e-news, with better chances of broad discourse in Nepalese agriculture. This paper aims to document recent initiatives in current e-extension developments in Nepal. Constraints may arise from issues of user-friendliness, affordability and reliability. If promoted with innovation and considerations of actual access, e-extension can have multiple positive impacts on Nepalese agriculture in the near future.
doi: 10.15347/WJS/2020.006
Author: Jan Kameníček
On 13 October 1990, meteoroid EN131090, with an estimated mass of 44 kg, entered the Earth's atmosphere above Czechoslovakia and Poland and, after a few seconds, returned to space. Observations of such events are quite rare; this was the second recorded using scientific astronomical instruments (after the 1972 Great Daylight Fireball) and the first recorded from two distant positions, which enabled the calculation of several of its orbital characteristics. The encounter with Earth significantly changed its orbit and, to a smaller extent, some of its physical properties (mass and structure of its outer layer).
doi: 10.15347/WJS/2020.005
Authors: Deepesh Nagarajan, Neha Nanajkar
Proteins are biological polymers composed of linear chains of 20 different amino acids. The sequence of amino acids for every protein is unique, and guides its folding into intricate 3-dimensional shapes, known as protein folds. The TIM barrel is one such fold, and is characterized by an interior 8-stranded β-barrel, surrounded and enclosed by 8 α-helices. TIM barrels are named after triose phosphate isomerase (TIM), an enzyme first structurally characterized in 1975, which lends its name to the fold. TIM barrels are prevalent in all forms of life, and across diverse metabolic pathways, with over 10% of all enzymes adopting this fold. The majority of TIM barrels are thought to have evolved from a common ancestor through gene duplication and domain fusion processes. TIM barrels have been created by protein engineers using preexisting half-barrel templates and de novo, without an existing template. This review will discuss the topological, structural, evolutionary, and design characteristics of TIM barrels in detail.
doi: 10.15347/WJS/2020.004
Author: Bryan Ericksen
Virtual colony count (VCC) is a kinetic, 96-well microbiological assay originally developed to measure the activity of defensins. It has since been applied to other antimicrobial peptides including LL-37. It utilizes a method of enumerating bacteria called quantitative growth kinetics, which compares the time taken for a bacterial batch culture to reach a threshold optical density with that of a series of calibration curves. The name VCC has also been used to describe the application of quantitative growth kinetics to enumerate bacteria in cell culture infection models. Antimicrobial susceptibility testing (AST) can be done on 96-well plates by diluting the antimicrobial agent at varying concentrations in broth inoculated with bacteria and measuring the minimum inhibitory concentration that results in no growth. However, these methods cannot be used to study some membrane-active antimicrobial peptides, which are inhibited by the broth itself. The virtual colony count procedure takes advantage of this fact by first exposing bacterial cells to the active antimicrobial agent in a low-salt buffer for two hours, then simultaneously inhibiting antimicrobial activity and inducing exponential growth by adding broth. The growth kinetics of surviving cells can then be monitored using a temperature-controlled plate reader. The time taken for each growth curve to reach a threshold change in optical density is then converted into virtual survival values, which serve as a measure of antimicrobial activity. [...] This article presents a brief review of published VCC experiments, followed by the presentation of an example VCC experiment investigating the effect of varying the inoculum of Escherichia coli cells when assayed against the defensin HNP1. A Microsoft Excel file containing the macro used for the calculation of threshold times and data analysis is also presented. The experiment demonstrated a pronounced inoculum effect at high inocula. The results of five similar experiments are also reported, showing variation among replicate data. doi: 10.15347/WJS/2020.003
Authors: Tyler Rushton, Sebastian Dworkin
The Grainyhead-like genes are a family of highly conserved transcription factors that are functionally and structurally homologous across a large number of vertebrate and invertebrate species. For an estimated 100 million years or more, this genetic family has been evolving alongside life to fine tune the regulation of epithelial barrier integrity during development, fine-tuning epithelial barrier establishment, maintenance and subsequent homeostasis. The three main orthologues, Grainyhead-like 1, 2 and 3, regulate numerous genetic pathways within different organisms and perform analogous roles between them, ranging from neural tube closure, wound healing, establishment of the craniofacial skeleton and repair of the epithelium. When Grainyhead-like genes are impaired, due to genetic mutations in embryogenesis, it will cause the organism to present with developmental defects that largely affect ectodermal (and sometimes also endodermal) tissues in which they are expressed. These subsequent congenital disorders, including cleft lip and exencephaly, vary greatly in their severity and impact on the quality of life for the affected individual. There is so much more to learn about the function of these genes and the more complex roles of Grainyhead-like genes are yet to be discovered.
doi: 10.15347/WJS/2020.002
Author: Iain Reid
Paranthodon (/pəˈrænθədɒn/) is a genus of extinct stegosaurian dinosaur that lived in South Africa during the Early Cretaceous, between 139 and 131 million years ago. Discovered in 1845, it was one of the first stegosaurians found. Its only remains, a partial skull and isolated teeth, were found in the Kirkwood Formation. British paleontologist Richard Owen initially identified the fragments as those of the pareiasaur Anthodon. After remaining untouched for years in the British Museum of Natural History, the partial skull was identified by South African paleontologist Robert Broom as belonging to a different genus; he named the specimen Palaeoscincus africanus. Several years later, Hungarian paleontologist Franz Nopcsa, unaware of Broom's new name, similarly concluded that it represented a new taxon, and named it Paranthodon owenii. Since Nopcsa's species name was assigned after Broom's, and Broom did not assign a new genus, both names are now synonyms of the current binomial, Paranthodon africanus. The genus name combines the Ancient Greek para (near) with the genus name Anthodon, to represent the initial referral of the remains. [...] In identifying the remains as those of Palaeoscincus, Broom initially classified Paranthodon as an ankylosaurian, a statement backed by the research of Coombs in the 1970s. However, in 1929, Nopcsa identified the taxon as a stegosaurid, with which most modern studies agree. In 1981, the genus was reviewed with modern taxonomy, and found to be a valid genus of stegosaurid. However, a 2018 review of Paranthodon could only identify one distinguishing feature, and while that study still referred it to Stegosauria based on similarity and multiple phylogenetic analyses, no diagnostic features of the group could be identified in Paranthodon. doi: 10.15347/WJS/2020.001
VOLUME 2 (2019)
ISSUE 1
Previous issue
Author: Collin Knopp-Schwyn
Widgiemoolthalite is a rare hydrated nickel(II) carbonate mineral with the chemical formula (Ni,Mg)5(CO3)4(OH)2·5H2O. Usually bluish-green in color, it is a brittle mineral formed during the weathering of nickel sulfide. Present on gaspéite surfaces, widgiemoolthalite has a Mohs scale hardness of 3.5 and an unknown though likely disordered crystal structure. Widgiemoolthalite was first discovered in 1992 in Widgiemooltha, Western Australia, which was its only known source as of 2016. It was named in 1993 by the three researchers who first reported its existence, Ernest H. Nickel, Bruce W. Robinson, and William G. Mumme.
doi: 10.15347/WJS/2019.007
Author: Ignacio Lopez de Blas
Lysenin is a pore-forming toxin present in the coelomic fluid of the earthworm Eisenia fetida. Pore-forming toxins (PFTs) are proteinaceous virulence factors produced by many pathogenic bacteria. Following the general mechanism of action of PFTs, lysenin is secreted as a soluble monomer that binds specifically to the membrane receptor sphingomyelin. After attachment, lysenin forms a 9-copy oligomer (nonamer) prepore on the lipid bilayer before membrane insertion. The biological role of lysenin is still unclear, however the most plausible theory is that it is part of an immune-avoiding mechanism. There are many proposed technological applications proposed for lysenin, and understanding its molecular role in bacterial infection could help in developing different antibiotic strategies to solve the problem of multiple drug resistance in bacteria.
doi: 10.15347/WJS/2019.006
Author: Anthony Lin
In computer science, binary search, also known as half-interval search, logarithmic search, or binary chop, is a search algorithm that finds a position of a target value within a sorted array. Binary search compares the target value to an element in the middle of the array. If they are not equal, the half in which the target cannot lie is eliminated and the search continues on the remaining half, again taking the middle element to compare to the target value, and repeating this until the target value is found. If the search ends with the remaining half being empty, the target is not in the array. [...] Binary search runs in logarithmic time in the worst case, making comparisons, where is the number of elements in the array, the is Big O notation, and is the logarithm. Binary search is faster than linear search except for small arrays. However, the array must be sorted first to be able to apply binary search. There are specialized data structures designed for fast searching, such as hash tables, that can be searched more efficiently than binary search. However, binary search can be used to solve a wider range of problems, such as finding the next-smallest or next-largest element in the array relative to the target even if it is absent from the array. There are numerous variations of binary search. In particular, fractional cascading speeds up binary searches for the same value in multiple arrays. Fractional cascading efficiently solves a number of search problems in computational geometry and in numerous other fields. Exponential search extends binary search to unbounded lists. The binary search tree and B-tree data structures are based on binary search. doi: 10.15347/WJS/2019.005
Authors: Michael J Stear, David Piedrafita, Caitlin J Jenvey, Sarah Sloan, Dalal Alenizi, Callum Cairns
One of the most important parasites of sheep and goats is the nematode Teladorsagia circumcincta. This is common in cool, temperate areas. There is considerable variation among lambs and kids in susceptibility to infection. Much of the variation is genetic and influences the immune response. The parasite induces a type I hypersensitivy response which is responsible for the relative protein deficiency which is characteristic of severely infected animals. There are mechanistic mathematical models which can predict the course of infection. There are a variety of ways to control the infection and a combination of control measures is likely to provide the most effective and sustainable control.
doi: 10.15347/WJS/2019.004
Author: Michael Bech
Baryonyx (/ˌbæriˈɒnɪks/) is a genus of theropod dinosaur which lived in the Barremian stage of the Early Cretaceous Period, about 130–125 million years ago. The first skeleton was discovered in 1983 in the Weald Clay Formation of Surrey, England, and became the holotype specimen of B. walkeri, named by palaeontologists Alan J. Charig and Angela C. Milner in 1986. The generic name, Baryonyx, means "heavy claw" and alludes to the animal's very large claw on the first finger; the specific name, walkeri, refers to its discoverer, amateur fossil collector William J. Walker. The holotype specimen is one of the most complete theropod skeletons from the UK (and remains the most complete spinosaurid), and its discovery attracted media attention. Specimens later discovered in other parts of the United Kingdom and Iberia have also been assigned to the genus. doi: 10.15347/WJS/2019.003
Author: Mike Christie
Ice drilling allows scientists studying glaciers and ice sheets to gain access to what is beneath the ice, to take measurements along the interior of the ice, and to retrieve samples. Instruments can be placed in the drilled holes to record temperature, pressure, speed, direction of movement, and for other scientific research, such as neutrino detection. [...] Many different methods have been used since 1840, when the first scientific ice drilling expedition attempted to drill through the Unteraargletscher in the Alps. Two early methods were percussion, in which the ice is fractured and pulverized, and rotary drilling, a method often used in mineral exploration for rock drilling. In the 1940s, thermal drills began to be used; these drills melt the ice by heating the drill. Drills that use jets of hot water or steam to bore through ice soon followed. A growing interest in ice cores, used for palaeoclimatological research, led to ice coring drills being developed in the 1950s and 1960s, and there are now many different coring drills in use. For obtaining ice cores from deep holes, most investigators use cable-suspended electromechanical drills, which use an armoured cable to carry electrical power to a mechanical drill at the bottom of the borehole. In 1966, a US team successfully drilled through the Greenland ice sheet at Camp Century, at a depth of 1,387 metres (4,551 ft). Since then many other groups have succeeded in reaching bedrock through the two largest ice sheets, in Greenland and Antarctica. Recent projects have focused on finding drilling locations that will give scientists access to very old undisturbed ice at the bottom of the borehole, since an undisturbed stratigraphic sequence is required to accurately date the information obtained from the ice. doi: 10.15347/WJS/2019.002
Author: Natalie A Borg
RIG-I (retinoic-acid inducible gene I, also known as DDX58) is the best characterized receptor within the RIG-I like receptor (RLR) family. Together with MDA5 (melanoma differentiation-associated 5) and LGP2 (laboratory of genetics and physiology 2), this family of cytoplasmic pattern recognition receptors (PRRs) are sentinels for intracellular viral RNA that is a product of viral infection. The RLR receptors provide frontline defence against viral infections in most tissues.
doi: 10.15347/WJS/2019.001
VOLUME 1 (2018)
ISSUE 2
Previous issue
Author: Andrew Z Colvin
Peripatric speciation is a mode of speciation in which a new species is formed from an isolated peripheral population. Since peripatric speciation resembles allopatric speciation, in that populations are isolated and prevented from exchanging genes, it can often be difficult to distinguish between them. Nevertheless, the primary characteristic of peripatric speciation proposes that one of the populations is much smaller than the other. The terms peripatric and peripatry are often used in biogeography, referring to organisms whose ranges are closely adjacent but do not overlap, being separated where these organisms do not occur—for example on an oceanic island compared to the mainland. Such organisms are usually closely related (e.g. sister species); their distribution being the result of peripatric speciation. [...] The concept of peripatric speciation was first outlined by the evolutionary biologist Ernst Mayr in 1954. Since then, other alternative models have been developed such as centrifugal speciation, that posits that a species' population experiences periods of geographic range expansion followed by shrinking periods, leaving behind small isolated populations on the periphery of the main population. Other models have involved the effects of sexual selection on limited population sizes. Other related models of peripherally isolated populations based on chromosomal rearrangements have been developed such as budding speciation and quantum speciation. The existence of peripatric speciation is supported by observational evidence and laboratory experiments. Scientists observing the patterns of a species biogeographic distribution and its phylogenetic relationships are able to reconstruct the historical process by which they diverged. Further, oceanic islands are often the subject of peripatric speciation research due to their isolated habitats—with the Hawaiian Islands widely represented in much of the scientific literature. doi: 10.15347/WJS/2018.008
Author: Mikhail Boldyrev
Lead is a chemical element with the atomic number 82 and the symbol Pb (from the Latin plumbum). It is a heavy metal that is denser than most common materials. Lead is soft and malleable, and has a relatively low melting point. When freshly cut, lead is silvery with a hint of blue; it tarnishes to a dull gray color when exposed to air. Lead has the highest atomic number of any stable element and concludes three major decay chains of heavier elements. [...] Lead is a relatively unreactive post-transition metal. Its weak metallic character is illustrated by its amphoteric nature; lead and its oxides react with acids and bases, and it tends to form covalent bonds. Compounds of lead are usually found in the +2 oxidation state rather than the +4 state common with lighter members of the carbon group. Exceptions are mostly limited to organolead compounds. Like the lighter members of the group, lead tends to bond with itself; it can form chains, rings and polyhedral structures. Lead is easily extracted from its ores; prehistoric people in Western Asia knew of it. Galena, a principal ore of lead, often bears silver, interest in which helped initiate widespread extraction and use of lead in ancient Rome. Lead production declined after the fall of Rome and did not reach comparable levels until the Industrial Revolution. In 2014, annual global production of lead was about ten million tonnes, over half of which was from recycling. Lead's high density, low melting point, ductility, and relative inertness to oxidation make it useful. These properties, combined with its relative abundance and low cost, resulted in its extensive use in construction, plumbing, batteries, bullets and shot, weights, solders, pewters, fusible alloys, white paints, leaded gasoline, and radiation shielding. In the late 19th century, lead's toxicity was recognized, and its use has since been phased out of many applications. Lead is a toxin that accumulates in soft tissues and bones, it acts as a neurotoxin damaging the nervous system and interferences with the function of biological enzymes. It is particularly problematic in children: even if blood levels are promptly normalized with treatment, neurological disorders, such as brain damage and behavioral problems, may result. doi: 10.15347/WJS/2018.007
|
![]()
WikiJournal of Science
www.WikiJSci.org On social media
|

_(20254717390).jpg)


.jpg)
.jpg)

.jpg)









_sextuplicate_calibration_growth_curves.png)
.png)








.png)




