| Tillaux fracture | |
|---|---|
| Other names | Tillaux-Chaput avulsion fracture |
![]() | |
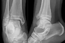
| X-ray of a Tillaux fracture in an 11 year old female | |
| Specialty | Orthopedic |
A Tillaux fracture is a Salter–Harris type III fracture through the anterolateral aspect of the distal tibial epiphysis.[1] It occurs in older adolescents between the ages of 12 and 15 when the medial epiphysis had closed but before the lateral side has done so,[2] due to an avulsion of the anterior inferior tibiofibular ligament, at the opposite end to a Wagstaffe-Le Fort avulsion fracture
Mechanism

The fracture commonly results from an abduction-external rotation force, causing the anterior tibiofibular ligament to avulse the anterolateral corner of the distal tibial epiphysis resulting in a Salter Harris Type III fracture.
Pathology
It occurs in older children at the end of growth. Variability in fracture pattern is due to progression of physeal closure as anterolateral part of distal tibial physis is the last to close. When the lateral physis is the only portion not fused, external rotation may lead to Tillaux or Triplane fractures.[3]
Treatment
If the displacement at fracture is less than 2 mm, it may be managed conservatively. However, displacement requires open reduction and internal fixation, especially when displacement is over 2 mm.[4]
Epidemiology
It occurs commonly in adolescents and older children. However, it does occur rarely in adults though it may be under reported because of difficulty in diagnosis.[5]
Etymology
This fracture pattern is named after Paul Jules Tillaux, a French Anatomist and Surgeon (1834-1904).
See also
References
- ↑ "Wheeless Online". Retrieved 30 October 2014.
- ↑ "Radiopaedia". Retrieved 30 October 2014.
- ↑ Hirsch M, et al. Understanding triplane distal tibia fractures. http://dx.doi.org/10.1016/j.rchira.2016.09.002
- ↑ Tiefenboeck, Thomas M.; Binder, Harald; Joestl, Julian; Tiefenboeck, Michael M.; Boesmueller, Sandra; Krestan, Christian; Schurz, Mark (2016). "Displaced juvenile Tillaux fractures". Wiener klinische Wochenschrift. 129 (5–6): 169–175. doi:10.1007/s00508-016-1059-9. ISSN 0043-5325. PMC 5346147.
- ↑ Kumar, Narinder; Prasad, Manish (2014). "Tillaux Fracture of the Ankle in an Adult: A Rare Injury". The Journal of Foot and Ankle Surgery. 53 (6): 757–8. doi:10.1053/j.jfas.2014.06.010. PMID 25128312.
