A subluxation is an incomplete or partial dislocation of a joint or organ.[1] According to the World Health Organization, a subluxation is a "significant structural displacement" and is therefore visible on static imaging studies, such as X-rays.[2][3][4] Unlike real subluxations, the pseudoscientific concept of a chiropractic "vertebral subluxation" may or may not be visible on x-rays.
The term is used in the fields of medicine, dentistry, and chiropractic. There is no scientific evidence for the existence of chiropractic subluxations or proof they or their treatment have any effects on health.
Medical
Joints

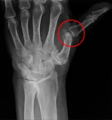
A subluxation of a joint is where a connecting bone is partially out of the joint.[5] In contrast to a luxation, which is a complete separation of the joint, a subluxation often returns to its normal position without additional help from a health professional.[6] An example of a joint subluxation is a nursemaid's elbow, which is the subluxation of the head of the radius from the annular ligament. Other joints that are prone to subluxations are the shoulders, fingers, kneecaps, ribs, wrists, ankles, and hips affected by hip dysplasia. A spinal subluxation is visible on X-rays and can sometimes impinge on spinal nerve roots, causing symptoms in the areas served by those roots. In the spine, such a displacement may be caused by a fracture, spondylolisthesis, rheumatoid arthritis,[7] severe osteoarthritis, falls, accidents and other traumas.
Ophthalmology
A subluxation of the lens within the eye is called ectopia lentis, wherein it is displaced or malpositioned.[8] Subluxated lenses are frequently found in those who have had ocular trauma and those with certain systemic disorders, such as Marfan syndrome, Ehlers–Danlos syndrome, Loeys–Dietz syndrome and homocystinuria. Some subluxated lenses may require removal, as in the case of those that float freely or those that have opacified to form cataracts.
Dental
A subluxation of a tooth is a dental traumatic injury in which the tooth has increased mobility but has not been displaced from the mandible or maxilla. This is a common condition and one of the most common dental traumatic disorders.[9] Dental subluxation is a non-dental-urgency condition, i.e., unlikely to result in significant morbidity if not seen within 24 hours by a dentist,[10] and usually treated conservatively: good oral hygiene with 0.12% chlorhexidine gluconate mouthwash, a soft and cold diet, and avoidance of smoking for several days.[10] In painful situations, a temporary splinting of the injured tooth may relieve the pain.[11]
Subluxation may also occur in the mandible from the articular groove of the temporal bone.[12] The mandible can dislocate in the anterior, posterior, lateral, or superior position. Description of the dislocation is based on the location of the condyle in comparison to the temporal articular groove.[13]
Chiropractic
Unlike real subluxations, the pseudoscientific concept of a chiropractic "vertebral subluxation" may or may not be visible on x-rays. Nor may it involve a significant displacement or even pain or clear dysfunction.[14] Straight chiropractors claim that vertebral subluxation has considerable health effects and also add a visceral component to the definition. Mainstream medicine and some mixer chiropractors consider these ideas to be pseudoscientific and dispute these claims, as there is no scientific evidence for the existence of chiropractic subluxations or proof they or their treatment have any effects on health.[15][16][17][18][19][20]
References
- ↑ "Definition of SUBLUXATION". Merriam-Webster. Retrieved January 4, 2018.
- ↑ Schwarz, N. (1998-04-01). "The fate of missed atlanto-axial rotatory subluxation in children". Archives of Orthopaedic and Trauma Surgery. 117 (4): 288–289. doi:10.1007/s004020050249. ISSN 1434-3916. PMID 9581264. S2CID 27358348.
- ↑ Laiho, K.; Soini, I.; Kautiainen, H.; Kauppi, M. (2003-03-01). "Can we rely on magnetic resonance imaging when evaluating unstable atlantoaxial subluxation?". Annals of the Rheumatic Diseases. 62 (3): 254–256. doi:10.1136/ard.62.3.254. ISSN 0003-4967. PMC 1754452. PMID 12594114.
- ↑ Garth, William P.; Allman, Fred L.; Armstrong, William S. (1987-11-01). "Occult anterior subluxations of the shoulder in noncontact sports". The American Journal of Sports Medicine. 15 (6): 579–585. doi:10.1177/036354658701500610. ISSN 0363-5465. PMID 3425785. S2CID 37203250.
- ↑ Page 107 in: Betsy J. Shiland (2014). Medical Terminology & Anatomy for ICD-10 Coding (2 ed.). Elsevier Health Sciences. ISBN 9780323290784.
- ↑ page 63 in: Ted Eaves (2011). The Practical Guide to Athletic Training. Jones & Bartlett Publishers. ISBN 9781449662684.
- ↑ Calleja, Michele (May 25, 2011). Chew, Felix S (ed.). "Rheumatoid Arthritis Spine Imaging". Medscape reference. WebMD LLC. Retrieved March 12, 2013.
- ↑ Eifrig, Charles W (July 22, 2011). Roy Sr, Hampton (ed.). "Ectopia Lentis". Medscape. WebMD LLC. Retrieved March 12, 2013.
- ↑ Zadik Y, Levin L (February 2009). "Oral and facial trauma among paratroopers in the Israel Defense Forces". Dent Traumatol. 25 (1): 100–102. doi:10.1111/j.1600-9657.2008.00719.x. PMID 19208020.
- 1 2 Zadik Y (December 2008). "Algorithm of first-aid management of dental trauma for medics and corpsmen". Dent Traumatol. 24 (6): 698–701. doi:10.1111/j.1600-9657.2008.00649.x. PMID 19021668.
- ↑ Flores MT, Andersson L, Andreasen JO, Bakland LK, Malmgren B, Barnett F, et al. (April 2007). "Guidelines for the management of traumatic dental injuries. I. Fractures and luxations of permanent teeth". Dental Traumatology. 23 (2): 66–71. doi:10.1111/j.1600-9657.2007.00592.x. PMID 17367451. S2CID 24626715.
- ↑ Chaudhry, Meher (April 19, 2012). Kulkarni, Rick (ed.). "Mandible dislocation". Medscape Reference. WebMD LLC. Retrieved March 12, 2013.
- ↑ Haddon, Robert & Peacock IV, W Franklin (2003). "240". In Tintinalli, Judith E; Kelen, Gabor D & Stapczynski, J Stephan (eds.). Face and Jaw Emergencies. Emergency Medicine: A Comprehensive Study Guide (6th ed.). McGraw-Hill. pp. 1471–1476. ISBN 978-0071388757.
- ↑ WHO guidelines on basic training and safety in chiropractic, p. 4, including footnote.
- ↑ Joseph C. Keating Jr.; Cleveland CS III; Menke M (2005). "Chiropractic history: a primer" (PDF). Association for the History of Chiropractic. Archived from the original (PDF) on 19 June 2013. Retrieved 2008-06-16.
A significant and continuing barrier to scientific progress within chiropractic are the anti-scientific and pseudo-scientific ideas (Keating 1997b) which have sustained the profession throughout a century of intense struggle with political medicine. Chiropractors' tendency to assert the meaningfulness of various theories and methods as a counterpoint to allopathic charges of quackery has created a defensiveness which can make critical examination of chiropractic concepts difficult (Keating and Mootz 1989). One example of this conundrum is the continuing controversy about the presumptive target of DCs' adjustive interventions: subluxation (Gatterman 1995; Leach 1994).
- ↑ Keating JC Jr; Charlton KH; Grod JP; Perle SM; Sikorski D; Winterstein JF (2005). "Subluxation: dogma or science?". Chiropr Osteopat. 13 (1): 17. doi:10.1186/1746-1340-13-17. PMC 1208927. PMID 16092955.
- ↑ Joseph C. Keating Jr. (1997). "Chiropractic: science and antiscience and pseudoscience side by side". Skeptical Inquirer. 21 (4): 37–43.
- ↑ Phillips RB (2005). "The evolution of vitalism and materialism and its impact on philosophy". In Haldeman S, Dagenais S, Budgell B, et al. (eds.). Principles and Practice of Chiropractic (3rd ed.). McGraw-Hill. pp. 65–76. ISBN 978-0-07-137534-4.
- ↑ Reggars JW (2011). "Chiropractic at the crossroads or are we just going around in circles?". Chiropractic & Manual Therapies. 19: 11. doi:10.1186/2045-709X-19-11. PMC 3119029. PMID 21599991.
- ↑ Suter E, Vanderheyden LC, Trojan LS, Verhoef MJ, Armitage GD (February 2007). "How important is research-based practice to chiropractors and massage therapists?". Journal of Manipulative and Physiological Therapeutics. 30 (2): 109–15. doi:10.1016/j.jmpt.2006.12.013. PMID 17320731.