
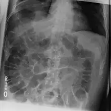
The dark areas on both sides of the intestines indicate that air is present in both sides. This is called "Rigler's sign".
A radiologic sign is an objective indication of some medical fact (that is, a medical sign) that is detected by a physician during radiologic examination with medical imaging[1] (for example, via an X-ray, CT scan, MRI scan, or sonographic scan).
Examples
See also
References
- ↑ Parker, Mark S.; Chasen, Marvin H.; Paul, Narinder (1 March 2009). "Radiologic Signs in Thoracic Imaging: Case-Based Review and Self-Assessment Module". American Journal of Roentgenology. 192 (3_supplement): S34–S48. doi:10.2214/AJR.07.7081. ISSN 0361-803X. Retrieved 23 April 2019.
- ↑ Gaillard, Frank. "Double decidual sac sign | Radiology Reference Article | Radiopaedia.org". Radiopaedia. Retrieved 9 May 2021.
This article is issued from Wikipedia. The text is licensed under Creative Commons - Attribution - Sharealike. Additional terms may apply for the media files.