
Cytopathology of Warthin's tumor, with typical cellular features (and a relatively uncommon binucleated cell).[1] Pap stain. The relatively large size of the oncocytes is seen when comparing to the lymphocyte.

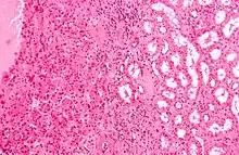
Oncocytes (left of image), as seen in a renal oncocytoma. H&E stain.
An oncocyte is an epithelial cell characterized by an excessive number of mitochondria, resulting in an abundant acidophilic, granular cytoplasm. Oncocytes can be benign or malignant.
Other names
Also known as:
- Hürthle cell (thyroid gland only)
- Oxyphilic cell
- Askanazy cell
- Apocrine metaplasia (breast gland only).
- Oncocytic cell
Etymology
Derived from the Greek root onco-, which means mass, bulk.
See also
- Hurthle cell carcinoma, a variant of follicular thyroid carcinoma.
- Oncocytoma, a tumour composed of oncocytes, may be found as a less common salivary gland neoplasm also known as oxyphilic adenoma.
- Renal oncocytoma, a kidney tumour composed of oncocytes.
References
- ↑ Image by Mikael Häggström, MD. References for entries:
- Köybaşioğlu FF, Önal B, Han Ü, Adabağ A, Şahpaz A (2020). "Cytomorphological findings in diagnosis of Warthin tumor". Turk J Med Sci. 50 (1): 148–154. doi:10.3906/sag-1901-215. PMC 7080357. PMID 31769640.{{cite journal}}: CS1 maint: multiple names: authors list (link)
Binucleation:
- Dr.S. Malliga (2006-10-18). "A correlative cytological and histopathological study on lesions of salivary gland" (PDF).
- Chan MKM, McGuire LJ: Cytodiagnosis of Lesions Presenting as Salivary Gland Swellings: A Report of Seven Cases. Diagn Cytopathol 8: 439-443, 1992b.
External links
This article is issued from Wikipedia. The text is licensed under Creative Commons - Attribution - Sharealike. Additional terms may apply for the media files.