"Hallux varus is a clinical condition characterized by medial deviation of the great toe at the metatarsophalangeal joint. [abbreviation excised]".[1] This condition when acquired by adults is usually caused by sports injury, surgical overcorrection of hallux valgus, or underlying causes such as arthritides.[1]
In places where modern shoes whose toe boxes are excessively narrow have not been worn, the condition known as normal feet can be mistaken for hallux varus.
The "sandal gap" is a phenomenon in which, due to the lack of a restrictive toe box in sandals, the toes can actuate unrestricted, so one may end up with any number of aligned and misaligned toes depending on how often one uses either sandals or narrow toe box shoes at any given time throughout one's life.
Photos
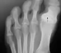
 Radiography of the left foot of a young male showing progressive hallux varus Radiography of the left foot of a young male showing progressive hallux varus
References
- 1 2 Munir, Usama; Mabrouk, Ahmed; Morgan, Samer (2023), "Hallux Varus", StatPearls, Treasure Island (FL): StatPearls Publishing, PMID 29261893, retrieved 2023-10-17
External links
Related term: sandal gap - https://www.ncbi.nlm.nih.gov/gtr/conditions/C1840069/