| Cystitis cystica | |
|---|---|
|  | |
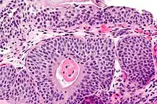
| Micrograph showing cystitis cystica. | |
| Specialty | Urology  | 
Cystitis cystica is an uncommon chronic reactive inflammatory disease that is believed to be brought on by a tumor, calculi, infection, or obstruction of the urothelium.[1] Cystitis glandularis is a proliferative progression of cystitis cystica that is distinguished by urothelial glandular metaplasia.[2]
Signs and symptoms
The symptoms of cystitis cystica and associated pathologies are not specific. They could exhibit vague symptoms akin to those of numerous other urinary illnesses and ailments. Symptoms include suprapubic or perianal pain, hematuria, urine retention,[3] lower urinary tract symptoms such as incomplete emptying, urgency, and frequency,[4] and obstructive urinary symptoms.[5]
Causes
Although many affected individuals share a common feature of chronic irritation, infection, or inflammation, the exact cause of cystitis cystica remains unknown.[6] Potential causes include chronic Urinary tract infections, in-dwelling catheters, mechanical irritation,[7] chronic bladder outlet obstruction, and neurogenic bladders.[8] Changes in the bladder mucosa caused by diffuse cystitis cystica are often linked to bladder exstrophy.[9]
Diagnosis
A complete blood count, tests for inflammatory mediators, a urinalysis, and a kidney function test are commonly performed examinations. Specifically, a urinalysis is necessary to identify any urinary tract infection or the presence of hematuria, and it should be obtained before starting any antibiotic.[6]
Cystitis cystica cystoscopy features can range from a large bladder cyst or mass to an essentially unremarkable appearance. On the other hand, it usually manifests as several tiny translucent cysts under the mucosa, primarily located at the bladder neck and trigone. Congestion, thickening, irregularity, multiple nodules, or an exophytic polypoidal mass can all be seen in the bladder mucosa.[10] Since cystitis cystica usually has inconclusive cystoscopic and radiological features, a concurrent biopsy is usually done on both the lesion and the mucosal changes.[11]
One trustworthy and non-invasive method to help diagnose cystitis cystica is ultrasonography.[12] Because it measures the thickness of the bladder wall, it is useful in cases of recurrent Urinary tract infections.[13] One study found that, in contrast to simple recurrent UTIs, which typically have a bladder wall thickness of less than 3 mm, cystitis cystica is indicated by values of bladder wall thickness greater than 3 mm.[14]
For a comprehensive assessment of the genitourinary system, computerized tomography (CT) scanning of the urinary tract with and without contrast media (CT urogram) is used. It can detect lesions in the bladder that are large enough to be seen, gauge the thickness of the bladder wall, and look for additional lesions that might be the source of hematuria. Cystitis cystica can show up on a CT urogram as a number of small, rounded filling defects in the bladder wall that range in size from 2 to 5 mm. Lesions can also occasionally appear as a large, tumor-like mass.[15]
Treatment
Since determining the precise cause of cystitis cystica can be difficult, treatment can be complicated. Following diagnosis confirmation, the mainstays of treatment are the elimination of aggravating factors, symptomatic management, antibiotics and chemoprophylaxis, and, in the event that non-pharmacological measures prove ineffective, surgical intervention.[6]
Outlook
Although the exact clinical course of cystitis cystica is unknown, the inflammation associated with the cystitis may subside if the irritant source is eliminated. The mucosal alterations may go away if UTIs are treated effectively and prevented.[6]
See also
References
- ↑ Wong-You–Cheong, Jade J.; Woodward, Paula J.; Manning, Maria A.; Davis, Charles J. (2006). "Inflammatory and Nonneoplastic Bladder Masses: Radiologic-Pathologic Correlation". RadioGraphics. 26 (6): 1847–1868. doi:10.1148/rg.266065126. ISSN 0271-5333.
- ↑ YI, XIANLIN; LU, HAOYUAN; WU, YUEXIAN; SHEN, YANG; MENG, QINGGUI; CHENG, JIWENG; TANG, YONG; WU, FENGXUE; OU, RUBIAO; JIANG, SHAOJUN; BAI, XIANZHONG; XIE, KEJI (July 18, 2014). "Cystitis glandularis: A controversial premalignant lesion". Oncology Letters. Spandidos Publications. 8 (4): 1662–1664. doi:10.3892/ol.2014.2360. ISSN 1792-1074. PMC 4156188. PMID 25202387.
- ↑ Moussaoui, A el; Dakir, M; Sarf, I; Aboutaieb, R; Zamiati, S; Benjelloun, S (1997). "Cystitis cystica glandularis. A study of 2 cases". Annales d'urologie (in French). 31 (4): 195–198. PMID 9412342.
- ↑ Son, Young; Madison, Ian; Scali, Julia; Chialastri, Paul; Brown, Gordon (August 13, 2021). "Cystitis Cystica Et Glandularis Causing Lower Urinary Tract Symptoms in a 29-Year-Old Male". Cureus. Cureus, Inc. 13 (8): e17144. doi:10.7759/cureus.17144. ISSN 2168-8184. PMC 8437016. PMID 34548967.
- ↑ Kaya, Cevdet; Akpinar, Ihsan N.; Aker, Fugen; Turkeri, Levent N. (December 14, 2006). "Large Cystitis Glandularis: A Very Rare cause of Severe Obstructive Urinary Symptoms in an Adult". International Urology and Nephrology. Springer Science and Business Media LLC. 39 (2): 441–444. doi:10.1007/s11255-006-9042-4. ISSN 0301-1623. PMID 17171414. S2CID 8767000.
- 1 2 3 4 Magied, Mahmoud H. Abdel; Badreldin, Almostafa M.; Leslie, Stephen W. (July 4, 2023). "Cystitis Cystica". StatPearls Publishing. PMID 35881730. Retrieved December 19, 2023.
- ↑ Liu, Xiaogang; Chen, Zhiqiang; Ye, Zhangqun (2007). "Etiological study on cystitis glandularis caused by bacterial infection". Journal of Huazhong University of Science and Technology [Medical Sciences]. Springer Science and Business Media LLC. 27 (6): 678–680. doi:10.1007/s11596-007-0615-y. ISSN 1672-0733. PMID 18231741. S2CID 27814694.
- ↑ Zhiqiang, Chen; Zhangqun, Ye; Wei, Zeng (2004). "Clinical investigation on the correlation between lower urinary tract infection and cystitis glandularis". Journal of Huazhong University of Science and Technology [Medical Sciences]. Springer Science and Business Media LLC. 24 (3): 303–304. doi:10.1007/bf02832021. ISSN 1672-0733. PMID 15315357. S2CID 43645320.
- ↑ Bannoura, Sami; Putra, Juan (November 30, 2020). "Bladder Exstrophy Polyp: An Uncommon Entity in Surgical Pathology". Fetal and Pediatric Pathology. Informa UK Limited. 41 (3): 523–525. doi:10.1080/15513815.2020.1854401. ISSN 1551-3815. PMID 33252291. S2CID 227237182.
- ↑ Leopold, Beth H.; Johnson, Christina M.; Makai, Gretchen E.H. (2019). "Cystitis Cystica on Routine Cystoscopy at Time of Total Laparoscopic Hysterectomy". Journal of Minimally Invasive Gynecology. Elsevier BV. 26 (6): 999. doi:10.1016/j.jmig.2019.02.001. ISSN 1553-4650. PMID 30735732. S2CID 73425422.
- ↑ Potts, Stephanie; Calleary, John (2017). "Cystitis Cystica as a Large Solitary Bladder Cyst". Journal of Endourology Case Reports. Mary Ann Liebert Inc. 3 (1): 34–38. doi:10.1089/cren.2017.0010. ISSN 2379-9889. PMC 5369394. PMID 28466074.
- ↑ Vrljicak, Kristina; Milosević, Danko; Batinić, Danica; Kniewald, Hrvoje; Nizić, Ljiljana (June 2006). "The significance of ultrasonography in diagnosing and follow-up of cystic cystitis in children". Collegium Antropologicum. 30 (2): 355–359. PMID 16848151.
- ↑ Milošević, Danko; Trkulja, Vladimir; Turudić, Daniel; Batinić, Danica; Spajić, Borislav; Tešović, Goran (2013). "Ultrasound bladder wall thickness measurement in diagnosis of recurrent urinary tract infections and cystitis cystica in prepubertal girls". Journal of Pediatric Urology. Elsevier BV. 9 (6): 1170–1177. doi:10.1016/j.jpurol.2013.04.019. ISSN 1477-5131. PMID 23725853.
- ↑ Milosević, Danko; Batinic, Danica; Vrljicak, Kristina; Skitarelić, Natasa; Potkonjak, Ana-Meyra; Turudić, Daniel; Bambir, Ivan; Cvitković Roić, Andrea; Spajić, Marija; Spajić, Borislav (March 2014). "Ultrasound distinction between simple recurrent urinary tract infections and a specific bladder wall inflammatory entity called cystitis cystica". Collegium Antropologicum. 38 (1): 151–154. PMID 24851610.
- ↑ Sureka, Binit; Jain, Vikas; Jain, Saurabh; Rastogi, Archana (January 2018). "Cystitis Cystica Glandularis: Radiological Imitator of Urothelial Carcinoma". Iranian Journal of Kidney Diseases. 12 (1): 10. PMID 29421770.
Further reading
- Walther, McClellan M.; Campbell, Wallace G.; O’Brien, David P.; Wheatley, Joseph K.; Graham, Sam D. (1987). "Cystitis Cystica: An Electron and Immunofluorescence Microscopic Study". Journal of Urology. Ovid Technologies (Wolters Kluwer Health). 137 (4): 764–768. doi:10.1016/s0022-5347(17)44206-6. ISSN 0022-5347. PMID 3560344.
- Warrick, William D. (1941). "Cystitis Cystica: Bacteriological Studies in a Series of 28 Cases". Journal of Urology. 45 (6): 835–843. doi:10.1016/S0022-5347(17)71120-2. ISSN 0022-5347.