| Cystadenoma | |
|---|---|
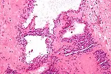
![]() | |
| Micrograph showing a pancreatic serous cystadenoma, a type of cystadenoma. H&E stain. | |
| Specialty | Oncology |
Cystadenoma (or "cystoma") is a type of cystic adenoma. When malignant, it is called cystadenocarcinoma.
Classification
When not otherwise specified, the ICD-O coding is 8440/0. However, the following classifications also exist:
By form
By location
- Bile duct cystadenoma (8161) or biliary cystadenoma is a slow-growing tumour arising from bile ducts of the liver. The presence of endocrine cells in the tumour also indicates its origin from the glands surrounding the bile ducts. The incidence is 1–5 in 100,000 people. Females are affected more than males at 9:1 ratio. Mean age of presentation is at 45 years old. About 30% of biliary cystadenoma can progressively become malignant over time.[1]
- Endometrioid cystadenoma (8380)
- Appendix: The term mucinous cystadenoma is an obsolete term for appendiceal mucinous neoplasm[2]
The term "cystadenoma" may also refer to a hidrocystoma.[3]
See also
References
- ↑ Rawla P, Sunkara T, Muralidharan P, Raj JP (March 2019). "An updated review of cystic hepatic lesions". Clinical and Experimental Hepatology. 5 (1): 22–29. doi:10.5114/ceh.2019.83153. PMC 6431089. PMID 30915403.
- ↑ Michael Feely, Raul S. Gonzalez. "Appendix – Other tumors – Mucinous neoplasms (LAMN and HAMN)". Topic Completed: 1 October 2017. Revised: 11 December 2019
- ↑ Rapini, Ronald P.; Bolognia, Jean L.; Jorizzo, Joseph L. (2007). Dermatology: 2-Volume Set. St. Louis: Mosby. ISBN 978-1-4160-2999-1.
External links
This article is issued from Wikipedia. The text is licensed under Creative Commons - Attribution - Sharealike. Additional terms may apply for the media files.
