| Balloon cell nevus | |
|---|---|
![]() | |
| Specialty | Dermatology |
Balloon cell nevus is a benign nevus.[1] It appears like a melanocytic nevus.[2]
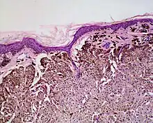
Histologically it is characterized by swollen, pale, polyhedral melanocytes, with pale cytoplasm and a central nucleus.[2] It is different to balloon cell melanoma,[3] which has larger nuclei and is structured like a melanoma.[1]
It was first described by Judalaewitsch in 1901.[3]
See also
References
- 1 2 James, William D.; Elston, Dirk; Treat, James R.; Rosenbach, Misha A.; Neuhaus, Isaac (2020). "30. Melanocytic nevi and neoplasms: Balloon cell nevus". Andrews' Diseases of the Skin: Clinical Dermatology (13th ed.). Edinburgh: Elsevier. pp. 690–691. ISBN 978-0-323-54753-6.
- 1 2 Johnstone, Ronald B. (2017). "33. Tumors of cutaneous appendages". Weedon's Skin Pathology Essentials (2nd ed.). Elsevier. p. 535. ISBN 978-0-7020-6830-0.
- 1 2 Paul, Sharad P.; Inskip, Michael (2016). "Balloon Cell Nevi and Balloon Cell Melanomas: What Are They?". Clinical Cases in Skin Cancer Surgery and Treatment. Springer International Publishing: 101–113. doi:10.1007/978-3-319-20937-1_10. ISBN 978-3-319-20936-4.
External links
This article is issued from Wikipedia. The text is licensed under Creative Commons - Attribution - Sharealike. Additional terms may apply for the media files.
