I found a wild cat, which has a difficulty with breathing, it seems that her nose is blocked and a lot of saliva is coming out.
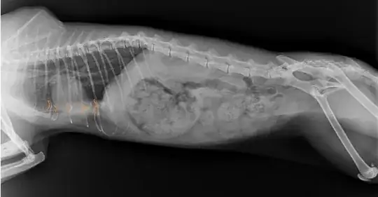
Beside that, we went to a vet to check this cat, blood test, temp., x-ray... so after taking x-ray we saw that her ribs have a strange shape. Local vet says that it seems that this cat suffered possible impact in that area, but he is not sure.
Her condition, beside difficulty of breathing is normal, she eats regularly, she drink water also she is happy and wants to play with me.
My question is; is it possible that x-ray is mistaken, because of a sudden movement?
Also second x-ray in different cat position shows different shape of ribs.
Can anyone explain, how can I interpret it?



