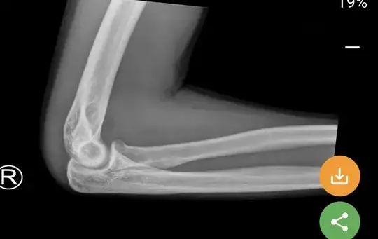
The Fracture is not an obvious one; there are occult fractures. The presence of a joint effusion, while not always associated with a fracture, is usually associated with a fracture when the history is consistent with an acute injury (possible fracture).
The radial head isn't grossly abnormal. There's a tiny suggestion of a possible fracture in the angularity of the radial neck. There 'should' be a bit of a smoother transition from the head to the radial shaft. However, it might not be called a fracture but for the presence of an effusion (in this case blood) in the joint capsule.
There are positive fat pad signs on the radiograph above.
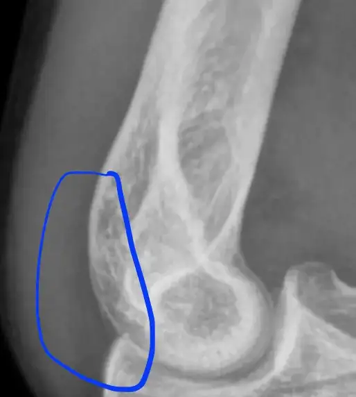
If you look closely at the distal humerus, you'll see a shadow/lucency that shouldn't be there:

If you use your imagination, it looks like the sail of a sailboat traveling (?) westward. That's the sail sign.
If you look at the posterior humerus, you'll see a lucency all along the joint:

That's never present without an effusion. That's the posterior fat pad sign.
Without seeing more than one view, it's difficult to say where exactly the fracture is in the joint, but it's clear (if there's a history of recent trauma) that there's a fracture somewhere in the joint because of the two fat pad signs.