Psychology/Lecture

Psychology is a scientific study of the human mind and its functions, especially those affecting behavior in a given context. It can refer to the mental characteristics or attitude of a person or group, or the mental and emotional factors governing a situation or activity.
Theoretical psychology
Def. the "study of
- the human mind, [...]
- human behavior, [...]
- animal behavior,[1] or [the]
- mental, emotional, and behavioral characteristics pertaining to a specified person, group, or activity"[2]
is called psychology.
Emotions


An emotion is a natural instinctive state of mind deriving from one's circumstances, mood, or relationships with others. It is any of the particular feelings that characterize such a state of mind, such as joy, anger, love, hate, horror, etc.
Abnormal psychology
Def. the "academic study of persons whose psychological characteristics deviate from the norm,[3] as with neuroses, psychoses, and disorders"[4] is called abnormal psychology.
"Unlike members of other oppressed groups (eg, African Americans, immigrants), most LGBs have siblings who are members of the dominant group (heterosexuals)."[5]
Animal psychology

Animal psychology includes but is not limited to "inframammalian behavior", "modifiability of behavior", and "the modifiability of behavior in mammals."[6]
"Advocates of Darwinian approaches to the study of behavior are divided over what an evolutionary perspective is thought to entail. Some take "evolution-mindedness" to mean "phylogeny-mindedness," whereas others take it to mean "adaptation-mindedness." Historically, comparative psychology began as the search for mental continuities between humans and other animals: a phylogenetic approach. Independently, ethologists and now behavioral ecologists have placed far more emphasis on the niche-differentiated mental abilities unique to the species being investigated: an adaptive approach."[7]
The "output of complex, dynamical systems can be dramatically changed by only minor changes in internal structure. Because selection acts on the consequences of behavior, the behavioral output of the psyche will be easily shaped by adaptive demands over evolutionary time, even though the modification of the neurophysiological substrate necessary to create such adaptive changes may be minor. Thus, adaptation-mindedness will be most illuminating in the study of cognition and behavior, whereas phylogeny-mindedness will be most illuminating in the study of their neurophysiological substrates. Similarly, a phylogenetic approach to cognition and behavior is likely to cause one to overlook our most interesting, complexly designed species-typical traits, whereas using animal psychology to exfoliate general principles of behavioral ecology represents our best hope of understanding humanity's many zoologically unique characteristics."[7]
Applied psychology
The basic premise of applied psychology is the use of psychological principles and theories to overcome practical problems in other fields, such as business management, product design, ergonomics, nutrition, law and clinical medicine. Applied psychology includes the areas of industrial/organizational psychology, human factors, forensic psychology, engineering psychology, as well as many other areas.
The legend and founder of applied psychology was Hugo Munsterberg. The German man came to America originally studying philosophy similar to most aspiring psychologists during the late 1800’s. Munsterberg had many interests in the field of psychology such as, purposive psychology, social psychology and forensic psychology. In 1907 he wrote several magazine articles concerning legal aspects of testimony, confessions and courtroom procedures, which eventually developed into his book, On the Witness Stand. The following year the Division of Applied Psychology was adjoined to the Harvard Psychological Laboratory. Within 9 years he had contributed eight books in English, applying psychology to education, industrial efficiency, business and teaching. Eventually Hugo Munsterberg and his contributions would define him as the creator of Applied Psychology.
Engineering psychology is an interdisciplinary part of Ergonomics and studies the relationships of people to machines, with the intent of improving such relationships. This may involve redesigning equipment, changing the way people use machines, or changing the location in which the work takes place. Often, the work of an engineering psychologist is described as making the relationship more "user-friendly."
Engineering psychology is an applied field of psychology concerned with psychological factors in the design and use of equipment. Human factors are broader than engineering psychology, which is focused specifically on designing systems that accommodate the information-processing capabilities of the brain.
Clinical psychology
Def. a "branch of psychology with purpose of understanding, preventing, and relieving psychologically based distress or dysfunction and to promote subjective well-being and personal development"[8] is called clinical psychology.
"Clinical psychology is the application of psychology in a clinical setting, including researching and treating psychological distress, dysfunction or disorder. In many countries it is a regulated mental health profession. Central to the practice of clinical psychology is assessment of the issues and needs of clients, and provision of psycho-education or psychotherapy to improve subjective well-being, mental health, and life functioning."[9]
Neuropsychology

Def. a "branch of neurology and of clinical psychology that investigates the physiological basis of psychological processes"[10] is called neuropsychology.
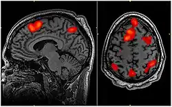
Notations: let FMRI stand for functional magnetic resonance imaging.
Notations: let TBI stand for traumatic brain injury.
"Hypotheses about the mechanism by which diffuse white matter damage occurs have changed as more research has been undertaken. The cell loss most likely involves both necrotic and apoptotic processes and may continue over a period of time following the injury (Povlishock and Katz, 2005). Such white matter injury has the potential to disrupt communication between parts of cognitive networks. This disruption may in part lead to some of the cognitive deficits seen in TBI victims (MacDonald et al., 2008; Strangman et al., 2009; Levin et al., 2010), even in cases where there are no regions of detectable gray matter damage (Scheid et al., 2006)."[11]
In the image on the right: "Working memory tasks typically show activation in the bilateral and superior frontal cortex as well as in parts of the superior bilateral parietal cortex. The highlighted regions showed significantly different activation between an individual performing a 1-Back task versus a 2-Back task."[11]
Social psychology
Def. the "interplay between the individual and society"[12] and the "study of how people and groups interact"[12]
is called social psychology.
From a social-psychological point-of-view "[A] group is dominant if it possesses a disproportionate share of societal resources, privileges, and power."[13]
"Based on the ethnic preference and trait attribution techniques, a remarkably consistent set of findings emerged, especially in relation to dominant group children."[14]
Psychiatry
Def. a "branch of medicine that [subjectively] diagnoses, treats, and studies mental illness and behavioural conditions"[15] is called psychiatry.
Psychopathology
Psychopathology is a term which refers to either the study of mental illness or mental distress, or the manifestation of behaviors and experiences which may be indicative of mental illness or psychological impairment.
Psychosis

Psychosis is a severe mental disorder in which thought and emotions are so impaired that contact is lost with external reality.
Hypotheses
- Like art, the focuses of psychology are those of its dominant groups.
See also
References
- ↑ 69.197.51.18 (24 April 2004). psychology. San Francisco, California: Wikimedia Foundation, Inc. https://en.wiktionary.org/wiki/psychology. Retrieved 2018-03-12.
- ↑ DCDuring (24 March 2012). psychology. San Francisco, California: Wikimedia Foundation, Inc. https://en.wiktionary.org/wiki/psychology. Retrieved 2018-03-12.
- ↑ BD2412 (6 April 2007). abnormal psychology. San Francisco, California: Wikimedia Foundation, Inc. https://en.wiktionary.org/wiki/abnormal_psychology. Retrieved 2015-08-09.
- ↑ abnormal psychology. San Francisco, California: Wikimedia Foundation, Inc. 28 July 2015. https://en.wiktionary.org/wiki/abnormal_psychology. Retrieved 2015-08-09.
- ↑ Kimberly F. Balsam, Theodore P. Beauchaine, Ruth M. Mickey, Esther D. Rothblum (August 2005). "Mental Health of Lesbian, Gay, Bisexual, and Heterosexual Siblings: Effects of Gender, Sexual Orientation, and Family". Journal of Abnormal Psychology 114 (3): 471-6. doi:10.1037/0021-843X.114.3.471. http://psycnet.apa.org/journals/abn/114/3/471/. Retrieved 2012-01-07.
- ↑ N. R. F. Maier and T. C. Schneirla (1964). Principles of animal psychology. Oxford, England: Dover. pp. 683. http://psycnet.apa.org/index.cfm?fa=search.displayRecord&uid=1965-09637-000. Retrieved 2016-09-25.
- 1 2 John Tooby and Leda Cosmides (Spring 1989). "Adaption Versus Phylogeny: The Role of Animal Psychology in The Study of Human Behavior". International Journal of Comparative Psychology 2 (3): 175-88. https://escholarship.org/uc/item/19q5b46g#page-1. Retrieved 2016-09-25.
- ↑ Sinek (12 August 2010). clinical psychology. San Francisco, California: Wikimedia Foundation, Inc. https://en.wiktionary.org/wiki/clinical_psychology. Retrieved 2015-08-09.
- ↑ Remi0o (28 April 2007). Topic:Clinical psychology. San Francisco, California: Wikimedia Foundation, Inc. https://en.wikiversity.org/wiki/Topic:Clinical_psychology. Retrieved 2016-06-12.
- ↑ SemperBlotto (13 September 2007). neuropsychology. San Francisco, California: Wikimedia Foundation, Inc. https://en.wiktionary.org/wiki/neuropsychology. Retrieved 2016-04-06.
- 1 2 John Graner, Terrence R. Oakes, Louis M. French, and Gerard Riedy (04 March 2013). "Functional MRI in the investigation of blast-related traumatic brain injury". Frontiers in Neurology Neurotrauma. doi:10.3389/fneur.2013.00016. http://journal.frontiersin.org/article/10.3389/fneur.2013.00016/full. Retrieved 2016-04-13.
- 1 2 Meco (30 May 2015). social psychology. San Francisco, California: Wikimedia Foundation, Inc. https://en.wiktionary.org/wiki/social_psychology. Retrieved 2015-08-09.
- ↑ Eric D. Knowles, Kaiping Peng (August 2005). "White selves: conceptualizing and measuring a dominant-group identity". Journal of Personality and Social Psychology 89 (2): 223-41. doi:10.1037/0022-3514.89.2.223.
- ↑ Drew Nesdale (March 2001). "Language and the Development of Children’s Ethnic Prejudice". Journal of Language and Social Psychology 20 (1-2): 90-110. doi:10.1177/0261927X01020001005. http://jls.sagepub.com/content/20/1-2/90.short. Retrieved 2012-01-07.
- ↑ Joel7687 (12 August 2005). psychiatry. San Francisco, California: Wikimedia Foundation, Inc. https://en.wiktionary.org/wiki/psychiatry. Retrieved 2015-08-08.
External links
{{Anthropology resources}}