Motivation and emotion/Book/2024/Ego death
What is ego death, what are its consequences, and how can it be facilitated?
Overview
|
Case scenario
![]()
Imagine Doug, a 37-year-old husband and father of 3, burdened by the pressures of work and family life, seeks a way to alleviate his stress. He decides to attend a weekend retreat where he is taken through a practitioner-guided psilocybin session and experiences a profound shift in consciousness, dissolving his ego entirely (see figure 1) . In this state, Doug feels a deep connection to the universe, experiencing an overwhelming sense of unity and peace and no sense of individual identity. The effect lasts for several hours and Doug is able to reframe his beliefs and ideas of his life with this newfound perspective. The experience reveals to him the source of his stress: his rigid attachment to his roles and identity, his belief that he must be the peacekeeper and the idea that his life will never amount to anything more. With this newfound understanding, Doug can reframe his beliefs about himself and the world, finding it more natural to balance his responsibilities, invite more peace and calm into his life and live in the present moment. |
This chapter delves into the nature of ego death, its implications, and the various ways it can be facilitated. To answer these questions, we must first understand the concept of the ego to fully grasp what is meant by its dissolution or "death". Ego death is a relatively new field of research for scientists, but there are a growing number of studies that reveal its theoretical underpinnings. Research has indicated significant psychological transformations, changes in identity, connection to self, others and personal growth and development. However, there are vital implications and risks associated with ego death that necessitate exploration to ensure safe and effective avenues of facilitation of this experience. Understanding the scientific basis of ego death can provide evidence-based methods for inducing it and insight into its effects on mental health.
|
Introduction to ego death
Ego death is a profound psychological and spiritual experience that transcends the ordinary understanding of self, and is a core tenet of enlightenment teachings (Rindfleish, 2007). Ego death necessitates an understanding of the ego and the self. Modern views see the ego as a dynamic cognitive construct that guides behaviour, diverging from earlier beliefs of solely instinctual drives. Ego death occurs when self-reference dissolves, leading to a profound sense of unity with the universe.
Conceptualising the ego
To conceptualise ego death, we must first understand what is meant by the ego. The concept of the ego is not easily defined and has often been challenged by researchers and scientific theorists (Loevinger, 1979). The ego, sometimes referred to as the "self", includes moral judgment, self-perception, and interpersonal relations, believed to be a subjective aspect of consciousness that engages with human thoughts and emotions (Erlich, 1996; Loevinger, 1979). Modern ego psychology views the ego as a systematic construct of mental processes that guides rational and emotional behaviour, diverging beyond earlier philosophies of the ego as merely driven by basic instincts. Lastly, the ego fluctuates between the idea of the individuated self, and broader social contexts, simultaneously perceiving itself in a subjective sense and in comparison to others. (Power & Lapsley, 1988).
Theoretical interpretations of the ego
Allport (1943), in his account of "The Ego in Contemporary Psychology", collated many definitions of the ego from the early 18th century until the early 20th century (see Table 1).
| Theory | Theorist(s) | Year(s) | Description |
|---|---|---|---|
| Ego as Knower | Franz Brentano, William James | Brentano (1838-1917), James (1890) | The ego is the subject actively engaging with the universe. |
| Ego as Object of Knowledge | David Horowitz | Early 20th century | Experiencing the self through introspection. |
| Ego as Primitive Selfishness | Max Stirner, Felix Le Dantec | Stirner (1844), Le Dantec (1918) | Argues that humans are inherently selfish, with egoism forming the foundation of social structures. |
| Ego as Dominance-Drive | Not attributed to a particular theorist | Emerged in early to mid-20th century | Sees the ego as the part of personality that demands status and recognition. Linked to dominance and the need for social order. |
| Ego as a Passive Organisation of Mental Processes | Sigmund Freud | Late 19th to early 20th century | The ego as a passive entity mediating conflicts among the id, superego, and external forces, often resulting in anxiety. |
| Ego as a Fighter for Ends | William James, Heinz Hartmann | James (late 19th century), Hartmann (mid-20th century) | The ego as an active agent striving for mastery and planning. |
| Ego as a Behavioural System | Kurt Lewin, Kurt Koffka | Lewin (early to mid-20th century), Koffka (early 20th century) | The ego as a dynamic system influencing actions when active and within overall behaviour. |
| Ego as the Subjective Organisation of Culture | Muzafer Sherif, Hadley Cantril | Mid-20th century | The ego emphasised by social values and cultural influences. |
The ego is a complex and transient concept that defies a single definition, varying across psychological perspectives (see Table 1).

According to Sigmund Freud (see figure 2) and his psychoanalytic theory of the ego, the self is shaped by three main components: the id, the ego, and the superego, which are inextricably linked to influence self-development over the lifespan (Lapsley & Stay, 2011). Freud believed these to be the three components of the mind, that when interacting skilfully, results in a mentally stable individual (Rennison, 2015, p.38-40). The Id encompasses the instinctual domains and drives unconscious and primary processes of satisfying survival needs and seeking out pleasure (Lapsley & Stay, 2011). Additionally, the ego is a component of the id that remains largely unconscious, yet it is considered more evolved, incorporating a perceptual system that bridges the gap between unconscious drives and conscious awareness. Finally, the superego is a conscious version of the self that strives for perfection and bases its drives on the moralistic ideals and standards of society (Lapsley & Stay, 2011).

Another well considered scientific theory of the self can be found in Abraham Maslow’s hierarchy of needs (see Figure 3.). This theory consists of five basic needs: physiological, safety, belongingness, self-esteem, and self-actualisation (Simons et al., 1987). This hierarchy is represented as a pyramid (See figure 3) with the basic survival needs at the base and the higher-order needs at the top. The dominant idea is that one can only progress through the hierarchical levels after first satiating the prior level, yet theorists question the practicality of that idea due to instances where individuals have reached the top of the pyramid without first satiating more basic drives (Rouse, 2004). According to the hierarchy, self-actualisation is said to become a persistent need that takes priority after the former biological and social needs have first been met (Rindfliesh, 2007). This could explain a drive towards the egoless state, away from the more primitive aspects of the human experience.
Interpretations of ego death

Ancient philosophical understandings of ego death were traditionally derived from Eastern religions, including Hinduism and Buddhism (Rindfleish, 2007). Moreover, the "death of the ego," is emphasised by Western Buddhists as the challenge to transcend the illusions of the referential self, reducing or eliminating personal desires. The idea is often linked to scriptural references from Jesus, who spoke of this transformative state before the experience of actual physical death. This elaboration suggests the possibility of attaining an egoless state of complete self-actualisation while still in human form, highlighting the historical roots of ego death (Rindfleish, 2007).
A sense of self is fundamental to the human experience, and contained within this idea is the capacity for self-reflection, theory of mind, individuation, decision making and subjective perceptions (Wellender, 2022). However, ego dissolution is the result of a reduction in this self-referential awareness, where a loss of usual boundaries with the objective world become apparent and an experience of connection with others, nature, the universe and God become increasingly salient. Although difficult to quantify, ego deaths mystical nature, there seems to be a positive correlation as the therapeutic effects of ego dissolution increase, so to do the mystical experiences (Wellender, 2022).
Choose your answers and click "Submit":
|
Consequences of ego death
Ego death, frequently induced by meditation, sudden life events and psychedelics, brings about significant changes in one's reality and perception. This experience involves the dissolution of the personal self, creating a sense of oneness with the universe and blurring the typical boundaries between self and others.
Altered perception and self awareness
Ego dissolution, often reported by psychedelic drug users, involves the loss or reduction of the sense of a distinct "self" separate from the world (Letheby & Garrans, 2017). Furthermore, neuroscientific research explains this phenomena through predictive processing models, which suggest that self-awareness stems from the brain's hierarchical models that create the perception of a stable, unchanging self. This "self" is seen as a cognitive construct, or a "Cartesian fiction" (see Cartesianism), that helps unify and integrate cognitive processes (Letheby & Garrans, 2017). Although the self-model plays an important role in organising thoughts and perceptions, it is not a real, enduring entity. Ego dissolution experiences reveal that the self is an illusion, a cognitive function that can be disrupted.
Therapeutic benefits
There are many positive psychological and emotional outcomes of ego death that have been evidenced to contribute to therapeutic outcomes. Enhanced problem solving due to large perceptual shifts and the ability to depersonalise from everyday life are major contributing effects of experiencing ego death (Smith & Sisti, 2021). Ego-dissolution may serve as a catalyst for breaking down rigid mental structures, allowing for new insights, while connectedness provides a foundation for enduring positive change. (Kałużna. 2022). This process may contribute to reports of reduced symptoms of depression and anxiety, facilitating positive therapeutic outcomes.

Spiritual transformation
Individuals have reported unique benefits such as enhanced self-understanding, feelings of self-loss and unity, and a deeper sense of connectedness, all of which lead to lasting changes in worldview (Smith & Sisti, 2021). Moreover, these experiences, often described as ego dissolution or 'death of the ego,' can result in spiritual awakening and profound shifts in perspective. In research by Taylor (2018), individuals reported experiencing ego dissolution, followed by an abrupt shift in consciousness that led to a spiritual awakening. These shifts were said to be catalysed by intense or stressful life events, during which individuals 'let go' of their stressors, triggering an ego death that resulted in the collapse of the self and the experience of a blissful state or spiritual transformation (see figure 5).
Facilitating ego death
Meditation and mindfulness practices and consumption of psychedelic substances are known to reduce attachment to the ego and induce ego dissolution, although complete ego death remains debated. Studies have shown that meditation can diminish defensive reactions to thoughts of mortality, while facilitated psychedelic use can disrupt negative self-referential thought patterns, contributing to treatments for depression and anxiety.
Meditation and mindfulness
Meditative practices specifically seek to dissolve the sense of self by inducing altered states of consciousness through meditation (Millière et al., 2018). The concept of total ego dissolution can be misleading, as those who report experiencing it may only be referring to the loss of certain self aspects, not the self as a whole. Additionally, determining whether complete ego death is possible is challenging, as there seems to be an underlying sense of self that must reference the egoless state in order to describe it. Traditional Eastern religions, like Hinduism and Buddhism, emphasise the importance of ego death to benefit from spiritual practices, by lessening or eliminating desires (Rindfleish, 2007). Moreover, meditation and mindfulness aims to diminish the sense of the ego by quieting the mind and reducing attachment to the self.
In a modern approach that reflects the Western attitude toward self and the ego, the principle of ego death has been adapted to emphasise the acceptance and transformation of the ego, rather than its complete elimination (Epstein, 1988). In a study by Park and Pyszczynski (2019) examining the impact of meditation and mindfulness on defensive responses to mortality salience, all three experiments showed that meditation effectively reduced these responses, regardless of previous experience with meditation or not. Overall, these findings suggest that meditation and mindfulness facilitate ego death by quieting the mind, reducing attachment to the self, and lessening defensive reactions to mortality. Interpreting ego death in this way suggests that mindfulness and meditation serve primarily as tools to transform and integrate the existing ego, creating a self-identity that is less attached to the 'self' overall (Rindfleish, 2007).
Psychedelic perspectives

Psychedelic assisted therapy or self-controlled ingestion either recreationally or intentionally are the most efficient methods to experience and facilitate ego death (Smith & Sisti, 2021). Psychedelic plants and hallucinogenic substances, such as psilocybin (see figure 6), mescaline, and LSD, have been traditionally used in ceremonies, religious rites of passage, and healing (Krebs & Johnson, 2013). Research into the therapeutic effects of psilocybin began many decades ago, suggesting efficacy for depression, anxiety, and smoking and alcohol cessation (Smith & Sisti, 2021) and there are significant associations between lifetime psychedelic use and mental health problems like anxiety, depression, PTSD, panic disorder and psychosis, (Krebs & Johnson, 2013). Findings by Wellender (2022) indicate that as the degree of ego-dissolution increases, the symptoms of disorders characterised by a heightened sense of self, such as depression and anxiety, tend to decrease. This supports the hypothesis that the therapeutic effects of psychedelics may be linked to their ability to disrupt repetitive negative self-referenced thought patterns (Wellander, 2022), leading to decreases in psychological disorders and mental health problems. The loss of self and self importance described as ego dissolution appears to play a central role in the therapeutic effects documented by the research (Smith & Sisti, 2021).
|
Stop and reflect If you could hit the reset button on your identity, what old beliefs would you leave behind? How do you think your life would change if you stopped defining yourself by your past experiences—would it feel exciting, or a little scary? |
Neurology in ego death
There are neurological underpinnings to ego death that challenge the notion of it being solely a mystical experience. Psychedelics like LSD, psilocybin, and dimethyltryptamine (DMT) alter brain activity, and psychological science can illustrate how changes in brain function contribute to the sensation and experience of ego death.

Psychedelic and hallucinogenic drugs can significantly affect an individual’s sense of self, perceptions, and brain functioning. Classical psychedelics, like LSD, psilocybin, ayahuasca, and DMT, work by interacting with specific brain receptors and parts of the brain (Millière, 2017; Senanayake, 2022). Notably, the 5-HT2A receptor, which is vital for understanding the self and the world, becomes destabilised under the influence of these substances, leading to ego dissolution, where the distinction between oneself, their environment, and their sense of self-identity becomes blurred.
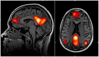
Research indicates that these drugs also influence brain regions such as the default mode network (DMN) (see figure 7), which is related to introspection, self-awareness, self-referential thoughts, and memory, and is usually active when we are not focused on an external task (Millière, 2017; Senanayake, 2022). Furthermore, psychedelics have been shown to decrease DMN activity, potentially contributing to the sensation of ego loss by disrupting regular self-awareness and altering brain connectivity between different regions. DMN decreased activity is also apparent during deep meditation and other experiences of ego dissolution.
Psilocybin works slightly differently as it increases the connection between the DMN and the task positive network (involved in problem solving, decision-making focused attention and executing actions), while also reducing the inverse relationship between these areas during meditation (Senanayake, 2022). Additionally, psilocybin decreases the coupling between the DMN and the medial temporal lobe, which is linked to dream-like states and depersonalisation disorders. This uncoupling results in the usual rigid sense of self and distinctions between the self and the external world becoming less defined, contributing to experiences of ego dissolution or ego death.
A study by Lebedev and colleagues (2015) explored the neural mechanisms behind ego disturbances, particularly ego dissolution, in the context of schizophrenia and psilocybin-induced psychedelic experiences. The research was conducted on 15 healthy participants and measured using functional MRI scans, comparing brain activity after administering a saline placebo or 2 mg of psilocybin. The results suggested that psilocybin-induced ego dissolution is linked to decreased connectivity between the medial temporal lobe and high-level cortical regions, breakdown of the salience network, and reduced interhemispheric communication. Overall, the results imply that the regular functioning of these brain networks is responsible for the sense of self and offer insights into ego disturbances in clinical and non-clinical settings (Lebedev et al., 2015).
Conclusion
Ego death represents a profound and transformative experience that challenges traditional perceptions of the self. Through practices such as meditation, mindfulness, and psychedelic use, individuals can transcend their ordinary sense of identity, leading to the dissolution of the ego. This altered state of consciousness reveals a deeper connection with the universe, fostering significant psychological and spiritual growth. Studies suggest that ego death can result in increased well-being, personal growth, and resilience, with individuals reporting greater insights into their sense of self, purpose, and their place in the world.
While meditation and mindfulness help reduce attachment to the self and diminish defensive reactions to reminders of mortality, psychedelics like psilocybin offer an efficient way to induce ego dissolution, often producing long-lasting shifts in worldview and enhancing mental health. Research has shown that psychedelics may reduce symptoms of anxiety, depression, and other psychological disorders by disrupting negative self-referential thought patterns.
However, the facilitation of ego death is not without risks. Ethical considerations must be taken into account, particularly regarding the responsible use of psychedelics and the potential psychological impacts of such profound experiences. Additionally, more research is needed to understand the full implications of ego dissolution on mental health, especially concerning long-term outcomes and the integration of these experiences into everyday life.
Overall, the understanding of ego death within a psychological and spiritual framework opens new pathways for therapeutic practices, offering a unique approach to mental health and personal development. Through continued research, this concept has the potential to further advance evidence-based approaches in therapy and improve psychological well-being.
|
Key takeaways
|
See also
- Ayahuasca and the brain (Book chapter, 2024)
- Death and meaning in life (Book Chapter, 2023)
- Ego death (Book chapter, 2023)
- Ego death (Wikipedia)
- Philosophy of self (Wikipedia)
- Self in Jungian psychology (Wikipedia)
References
Barac, V. (2010). Vine of the soul: Encounters with ayahuasca. Anthropologica, 52(2), 413–414. Retrieved from https://www.proquest.com/docview/817184367?accountid=28889
Epstein, M. (1988). The deconstruction of the self: Ego and “egolessness” in Buddhist insight meditation. The Journal of Transpersonal Psychology, 20(1), 61–69. Retrieved from https://citeseerx.ist.psu.edu/document?repid=rep1&type=pdf&doi=b9fa967838934c041dffc5ad71f169fbcc70ea82
Hayes, C. (2002, March). Is taking a Psychedelic an act of sedition? (Medicine). Tikkun, 17(2), 24+. https://link.gale.com/apps/doc/A83699556/LitRC?u=anon~9cf42d12&sid=googleScholar&xid=db7b35ad
Kałużna, A., Schlosser, M., Craste, E. G., Stroud, J., & Cooke, J. (2022). Being no one, being one: The role of ego-dissolution and connectedness in the therapeutic effects of psychedelic experience. Journal of Psychedelic Studies, 6(2). https://doi.org/10.1556/2054.2022.00199
Krebs, T. S., & Johansen, P. (2013). Psychedelics and mental health: A population study. PLoS One, 8(8). https://doi.org/10.1371/journal.pone.0063972
Lapsley, D. K., & Stey, P. C. (2011). Id, ego, and superego. In V. S. Ramachandran (Ed.), Encyclopedia of human behavior (2nd ed., pp. 1–9). Academic Press. https://maplab.nd.edu/assets/224926/id_ego_superego_encyclopedia_of_human_behavior.pdf
Lebedev, A. V., Lövdén, M., Rosenthal, G., Feilding, A., Nutt, D. J., & Carhart-Harris, R. L. (2015). Finding the self by losing the self: Neural correlates of ego-dissolution under psilocybin. Human Brain Mapping, 36(8), 3137–3153. https://doi.org/10.1002/hbm.22833
Letheby, C., & Gerrans, P. (2017). Self unbound: Ego dissolution in psychedelic experience. Neuroscience of Consciousness, 2017(1), nix016. https://doi.org/10.1093/nc/nix016
Loevinger, J. (1979). The idea of the ego. The Counseling Psychologist, 8(2), 3–5. https://doi.org/10.1177/001100007900800202
Millière, R. (2017). Looking for the self: Phenomenology, neurophysiology and philosophical significance of drug-induced ego dissolution. Frontiers in Human Neuroscience, 11, 191130. https://doi.org/10.3389/fnhum.2017.00245
Millière, R., Carhart-Harris, R. L., Roseman, L., Trautwein, F. M., & Berkovich-Ohana, A. (2018). Psychedelics, meditation, and self-consciousness. Frontiers in Psychology, 9, 1475. https://doi.org/10.3389/fpsyg.2018.01475
Park, Y. C., & Pyszczynski, T. (2019). Reducing defensive responses to thoughts of death: Meditation, mindfulness, and Buddhism. Journal of Personality and Social Psychology, 116(1), 101–118. https://doi.org/10.1037/pspp0000163
Rennison, N. (2015). Freud and psychoanalysis: Everything you need to know about id, ego, super-ego and more. Oldcastle Books. Retrieved from https://www.psicopolis.com/psicopedia/SFreudpsychoanalysis.pdf
Rindfleish, J. (2007). The “death of the ego” in East‐meets‐West spirituality: Diverse views from prominent authors. Zygon, 42(1), 65–76. https://doi.org/10.1111/j.1467-9744.2006.00805.x
Rouse, K. A. G. (2004). Beyond Maslow's hierarchy of needs: What do people strive for? Performance Improvement, 43(10), 27. https://doi.org/10.1002/pfi.20015
Senanayake, R. (2022). From Ego to Death: Validation of the Ego-Dissolution Scale (EDS). Open Access Te Herenga Waka-Victoria University of Wellington. Thesis. https://doi.org/10.26686/wgtn.20380158
Simons, J. A., Irwin, D. B., & Drinnien, B. A. (1987). Maslow’s hierarchy of needs. http://eznow7jgmenpjz.pic3.eznetonline.com/upload/MASLOW_YQfG.pdf
Smith, W. R., & Sisti, D. (2021). Ethics and ego dissolution: The case of psilocybin. Journal of Medical Ethics, 47(12), 807–814. https://doi.org/10.1136/medethics-2020-106070
Taylor, S. M. (2018). Two modes of sudden spiritual awakening? Ego-dissolution and explosive energetic awakening. International Journal of Transpersonal Studies, 37(2), 131–143. https://doi.org/10.24972/ijts.2018.37.2.131
Wellander, K. (2022). Prescribed ego-death: The therapeutic effects found in the psychedelic-induced absence of self. Retrieved from https://www.diva-portal.org/smash/get/diva2:1690149/FULLTEXT01.pdf
Zamaria, J. A. (2014). A phenomenological examination of psilocybin use and its positive and persisting aftereffects. Alliant International University. Retrieved from https://www.proquest.com/docview/1648433473?pq-origsite=gscholar&fromopenview=true&sourcetype=Dissertations%20&%20Theses
External links
- Dr Andrew Huberman with Sam Harris: Psilocybin & Ego Death (YouTube: Huberman Lab Experience)
- Joe Rogan on ego death (YouTube: JRE Clips)
- The psychedelic experience (Book: Timothy Leary, Richard Alpert and Ralph Metzner)
- Your brain on shrooms (YouTube: AsapSCIENCE)
