Motivation and emotion/Book/2011/Violent video games
Do violent video games motivate aggressive behaviour? What guidelines can be offered?
| This page is part of the Motivation and emotion book. See also: Guidelines. |
Introduction
Relevance and significance of violent video game debate
In today's digital society, children are spending increasing amounts of time consuming various forms of media. Carnagey, Anderson, and Bartholow (2007) reported that children spend more than 5 hours per day interacting with media. Considering children spend on average 6 hours at school, this is a concerning statistic. In a world dominated by technology (e.g., iPhones, computers, television), it is no wonder that the debate surrounding violent video games (VVGs) is so prevalent. The video game industry is a multi-billion dollar industry that continues to prosper and grow rapidly. Some of the most popular video games, such as Call of Duty, Grand Theft Auto, and Halo, have a common characteristic: violence.
As the interest in violent games increase, so do the concerns for possible negative implications associated with the VVG's. The debate surrounding violent games motivating aggressive behaviour is particularly important to young children and adolescents who are most vulnerable to the potential negative effects of violent games. This concern is based on their susceptibility to violent content due to underdeveloped cognitive, emotional, social, psychological and neurological states. Consequently, the government and social scientists have invested significant resources and effort into ultimately determining whether VVG's motivate aggressive behaviour or are simply a scapegoat for more deep-seeded social issues (Ferguson, 2008).
Irrespective of the influence of violent games, the claim by Carnagey and Anderson (2005) that a clear consensus has already been reached in support of VVG's leading to aggression, is far from accurate (Williams & Skoric, 2005). Therefore, the present chapter aims to explore whether VVG's motivate aggression by examining the differing theoretical models in an attempt to reach a conclusion. Additionally, a self-help guide to practically decrease VVG consumption will be provided.
Definitions
- Violent video games
Violent video games refer to an electronic game played on the television or computer that consists of violent graphics and content.
- Aggression
Aggression has been defined by English and English (1958) as a hostile action which causes fear and in turn brings an aggressor into forceful contact with another organism or psychological equivalent.
Columbine high school massacre![]() On Tuesday, April 20, 1999, at Columbine high school, one of the worst massacres in American history was committed. Two students, Eric Harris and Dylan Klebold, attended their high school where they proceeded to shoot their fellow students. In the course of the 45-minute massacre, the shooters managed to kill 13 people, including one teacher. Similarly, 21 students were seriously injured as a result of the shootings. Harris and Klebold used pistols, shot guns, rifles and homemade explosives to carry out the attack. The two students arrived separately on the day and aimed to use the homemade explosives to blow up the school cafeteria during lunchtime, potentially killing hundreds of students, and gun-down any survivors fleeing the explosion. However, the explosives did not detonate, so the duo began to approach a school vantage point and shoot whomever they came across. After this, the shooters entered the school, shooting at will. Some students fled to the library where they were followed, and mercilessly killed at point-blank range. After this, the duo strolled around the school, terrorising those whom they could find, before finally committing suicide by shooting themselves in the head. ![]() The massacre provoked intense debate surrounding the potential influence of the violent video game Doom, which many believe may have been directly involved in motivating the sadistic and violent behaviour. The association between VVG's and the massacre was established due to Harris having an internet site that simulated levels of Doom. Furthermore, the duo made reference to the game in their final video before the massacre. The Columbine shootings are largely regarded, within the scientific literature, as the catalyst for the debate on the possible negative implications of violent video games. |
Supportive theoretical explanations
Overview
Several theories have been developed to provide an explanation for how VVG's motivate aggressive tendencies in individuals. The primary model that has received most attention in support for the VVG-aggression hypothesis is the GAM. However, the desensitisation model is receiving increasing amounts of attention from psychologists as a possible determinant of how VVG's motivate aggression.
General aggression model (GAM)
|
Incorporated Theories of the GAM
Table 1 Major theoretical models incorporated into the general aggression model (GAM) |
The GAM proposes that VVG's influence aggressive behaviour through the way violent content affects an individual's internal state (Anderson & Bushman, 2001; Anderson & Dill, 2000). The internal structure of an individual includes interacting cognitive (aggressive scripts, hostile thoughts), affect (hostile feelings), and arousal states (heart rate, blood pressure; Greitemeyer, Osswald, & Brauer, 2010). Therefore, through altering an individual's internal state, the violent cues increase an individual's suceptability to aggression.
In addition to short-term effects, long-term exposure to VVG's is theorised to be responsible for an individual learning through continuous reinforcement of aggressive knowledge structures (Huesmann, 2010). That is, the aggressive content associated with a violent game increases an individual's susceptibility towards aggressive thoughts (e.g., priming). This in turn results in biased perceptions, interpretations, and behaviours of aggressiveness. Therefore, exposure to VVG's leads to the internalisation of the aggressive materials that constitute violent games. The GAM is generally considered the most prevalent theoretical model in support of the VVG-aggression hypothesis, as it incorporates themes from other major theoretical models (see Table 1).
Bluemke, Friedrich and Zumbach (2010) examined the effects of VVG's on aggressive cognition and arousal. Ninety-six undergraduate students at a German university were randomly assigned to three computer game groups (violent, peaceful, and abstract) or an alternative reading task group. The data was collected using a German aggression questionnaire, Implicit Association Test, and physiological arousal measurements. The results indicate that the participants who played VVG's recorded statistically significant increased levels of aggressive self-concept. Additionally, even brief exposure to the violent game resulted in greater accessibility to aggressive cognitive structures. In contrast, peaceful games reduced participant's susceptibility to aggressive cognitions. The arousal levels of participants were not associated with aggression as there was no significant differences in scores across all four groups.
The findings support the validity of the cognitive component of the GAM, although questions remain about the relevance of the arousal component. However, it must be noted that violent games alone motivated aggressive thoughts, while peaceful games failed to produce similar negative implications. Therefore, the differences in aggressive thoughts between the game conditions (violent vs. peaceful) can be attributed to the experimental manipulation. This suggests that there is evidence of a possible relationship between VVG's and aggression.
However, the Bluemke et al. (2010) study has a number of methodological limitations. These include a small and unrepresentative sample. As the sample only consists of German undergraduate students, the ability of the study to apply the results to the general population is restricted. This is supported by the fact that the experimenters used a German questionnaire that was specific to German culture. Furthermore, the long-term effects of VVG's on aggression were ignored, and consequently, remain unknown. Future research should seek to identify if there are any long-term effects of VVG exposure by utilising a longitudinal design
Desensitisation model

A specific model of the GAM, that has attracted substantial attention from researchers in understanding the relationship between VVG's and aggression, is the desensitisation model. Desensitisation to violence occurs when continual exposure to violent stimuli causes a lack of a response to violent cues (Krahѐ et al., 2010). Thus, when an individual plays a game with violent content, any subsequent physiological reaction to violence is decreased. This causes a 'hardening' of individuals and their beliefs about the severity and consequences associated with aggressive behaviours. Similarly, according to the model, exposure to VVG's decreases empathy and emotional responses (Weber, Ritterfeld, & Mathiak, 2006).
A study by Staude-Muller, Bliesener, and Luthman (2008) found support for the desensitisation hypothesis. Forty-two men were randomly assigned to a high or low-violence condition where participants were instructed to play a video game for 20 minutes. Arousal (heart rate and blood pressure) was measured throughout the experiment. Emotional responses to aversive pictures (e.g., mutilated bodies, accident victims) and aggressive pictures (e.g., weapons) were examined using additional self-report and physiological (skin conductance) measurements. The study found that participants in the high violent condition produced a weaker physiological reaction to the aversive stimuli.
This finding supports the desensitisation hypothesis, as the weaker physiological response is consistent with the 'hardening' that would be expected if desensitisation occurred. Consequently, the arousal component of the GAM, which predicts an increase in physiological responses, is not supported. Conversely, the strong reaction to the aggressive pictures supports the cognitive component of the GAM. This suggests that violent games are associated with the priming of aggressive knowledge structures. Therefore, the results of Staude-Muller et al. (2008), at least partially, provide evidence for the validity of the GAM. Although, of greater significance is the establishment of the desensitisation hypothesis as a credible model for attempting to explain how VVG exposure may motivate aggressive behaviour in indviduals.
The lack of a control group compromises the findings of the study by Staude-Muller et al., (2010). That is, the low-violence condition fails to describe if a non-violent game group would have reported different results. All that can be deduced from the study is that highly violent games demonstrate a significant influence on individuals when compared to low violent games. Therefore, the internal validity of the study is questioned as it becomes harder to determine if the VVG or an alternative onfounding variable is responsible for the results. Future studies should provide a control group so that any difference between the control and experimental conditions can be directly attributed to the experimental manipulation.
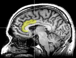
Neurology and violent games

In recent years, psychologists have focused their attention on the neurological basis for violent games motivating aggression. Specifically, Weber, Ritterfield, and Mathiak (2006) conducted a within-subjects design to examine the influence of violent and non-violent video games on 13 male participants. The functional magnetic resonance imaging (fMRI) study found that the violent content of the video games suppressed the affect areas of the anterior cingulate cortex (ACC) and the amygdala. Conversely, there was activity in the cognitive area of the ACC.
The results indicate that the neural patterns that are responsible for controlling aggressive cognitions and behaviours are directly altered in the presence of VVG exposure. The influence that VVG's have on aggression can be attributed to the role of the ACC. The ACC is the area of the brain that regulates an individual's decision-making, empathy, and emotion. Therefore, through influencing an individual's neural patterns, violent games determine how an individual reacts to violent cues. Consequently, when exposed to VVG's this alters the neurological structure by increasing areas associated with aggressive cognitions and behaviours, and by decreasing empathy (desensitisation). Accordingly, this finding supports the cognitive component of the GAM, in addition to the desensitisation hypothesis. However, there is the possibility that the neural activity demonstrated in the study is due to the presence of fear activating the amygdala and not aggression.
Further support by Hummer et al., (2010) provides incremental evidence of the significance of neurology in determining whether VVG's motivate aggressive behaviour. This study used an fMRI to examine neurological changes in men and women during violent or non-violent video games. The study found that VVG exposure resulted in a lower response in an individual's dorsolateral prefrontal cortex (DLPFC). This finding is significant as the DLPFC is responsible for an individual's executive functioning, including the suppression of unwanted thoughts and feelings. Consequently, the lower inhibition by participants results in a susceptibility to aggression through individuals not being able to control their thoughts and feelings.
The significance of these neurological findings are that they provide researchers with the ability to make casual inferences in support of the hypothesis that VVG motivate aggression. In demonstrating the physiological changes due to the violent content in video games, neurological studies challenge opposition to the connection. Subsequently, the more accurate question may be to what extent VVG's motivate aggression, rather than attempting to determine whether there is an association or not.
Summary
Overall the empirical evidence indicates that both the GAM and desensitisation model provide strong support for an association between VVG's and aggression. However, the literature only partially supports the GAM. That is, the efficacy of the arousal and affect components are weak. Consequently, only the cognitive component can adequately explain how and if VVG's cause aggression.
Opposing theoretical explanations
Potential for positive implications of violent video games?
|
Attraction to violent games
Table 2 Study by Olson et al., (2010)found what factors attract young boys (ages12-14) to violent video games| |
In contrast to research which suggests that VVG's cause aggression, there is evidence to suggest that VVG's can have positive implications for individuals (Ferguson, 2007). Olson, Kutner, and Warner (2008) conducted a qualitative study to explore the potential positive outcomes of VVG's on young boys, aged 12 to 14 years. Firstly, the study discovered what aspects of the game that attracted the boys to VVG's (Table 2). Furthermore, the results indicate that the video games assisted the boys in gaining motivation and encouragement to think creatively in order to solve problems. Consequently, the results indicate that VVG's, and video games in general, can positively affect the psychological, emotional, and social development of young boys.
This finding identifies video games as a critical developmental tool that can be used to increase and nurture the development of the current, and any subsequent, generation of children. Furthermore, in regulating the emotions of individuals, the findings suggest that VVG's may not be responsible for increasing aggressive tendencies. Instead, VVG's may result in individuals been able to control their emotions and even project these emotions into prosocial behaviour.
Although these results suggest positive outcomes for VVG's, more research is required before conclusively determining whether there is an influence. Additionally, the qualitative and self-report nature of the study limits the ability of the study to make causal inferences regarding the relationship between VVG's and prosocial consequences. Further limitations of the study by Olson et al. (2008) include restrictions in generalisations to other groups of society (e.g., females, older/younger individuals). However, the suggestion that VVG's can help regulate and control aggression warrants further examination.
Methodological flaws
Researchers who oppose the association between VVG's and aggression state methodological flaws as a strong point of contention. Unsworth, Devilly, and Ward (2007) suggest that the reason there is evidence to support the VVG-aggression hypothesis is due to the limitations in the reliability of the measurements in the studies. The majority of studies in the current literature generally adopt either self-report questionnaires or implicit measures of physiological responses. However, due to the inability of participants to accurately describe how they think and feel, socially desired responses, and other biases', the self-report measures are often considered inaccurate (Unsworth et al., 2007). Furthermore, questionnaires only establish correlations, not causations, between variables. Therefore, this minimises the ability of the research to conclusively determine whether violent games motivate aggressive behaviour or not.
In addition, there is evidence that measures of physiological responses (arousal) are erroneous (Arriaga, Esteves, Carneiro, & Monteiro, 2008). Consequently, the findings of the current research literature are compromised, as what researchers thought they were measuring might not necessarily be aggression. Therefore, the literature that supports the VVG-aggression hypothesis is questionable. Subsequently, the concern surrounding the influence of violent games on aggression may be unnecessary.

The empirical research evidence by Ferguson and Rueda (2010) further supports the opinion that there is no causal relationship between VVG's and aggression. The 103 university students in the study were randomly assigned to one of three conditions: no game, non-violent game, and violent game as either a good or a bad character. The results of the study indicate that short-term exposure to VVG's had no impact on aggressive behaviour. Long-term consumption found a decrease in hostile feelings and depression, but aggressiveness remained the same. These results challenge the assumptions of the GAM, by finding no support for the short-and-long-term implications associated with the model. Consequently, this suggestion is inconsistent with VVG-aggression hypothesis.
However, the same methodological flaws that limit the support for the VVG-aggression hypothesis also hinder those that oppose the connection. Firstly, as the majority of the sample is Hispanic, applicability to other ethnic groups should be considered when generalising the findings. Additionally, the external validity of the results is questionable. Therefore, the ability to apply the results from a laboratory experiment to a real-world situation is restricted.
Moral panic model
|
Alternative explanations for VVG-aggression hypothesis Biological/ Neurological:
Environmental:
Psychological:
Table 3 Alternative factors that could explain what mechanisms motivate aggressive behaviour other than violent games |
In addition to methodological flaws, the Moral Panic Model was devised by Ferguson (2008) to attempt to explain why there is academic support for the VVG-aggression hypothesis. The model states that biases' by politicians, social scientists, and the media contribute to the misconception of video games, which causes an unnecessary social panic. Consequently, this redirects the focus away from the other possible factors that could potentially explain what motivates aggression in individuals (see Table 3). That is, it is easier for organisations and individuals to blame VVG's for causing aggression, than attempt to address potential risk factors that are more controversial and require more resources and effort to correct.
Bushman, Rothstein, and Anderson (2010) concede that violent games are not as influential in motivating aggression as the literature surrounding the debate indicates. However, as VVG's do have some influence, they question if nothing should be done about the VVG-aggression relationship. This is an important argument as in order to address the issue of aggression, the government and social scientists have to start somewhere.
In addition, Huesmann (2010) argues that those who oppose the VVG-aggression association do so because their personal identities and self-interests are closely linked to VVG's. Furthermore, the moral panic model is founded upon a personal view, with no direct research evidence to support the hypothesis. Irrespective of the influence of VVG's, there is a strong need for social scientists, the government, and the media to maintain objectivity and professional integrity when reporting the findings instead of having personal motives and biases towards a particular view.
Quiz
Now for a quiz to test your knowledge on the chapter of violent video games.
Summary and guidelines
There is strong support for, and opposition against, the belief that VVG's motivate aggression in individuals. Generally, the majority of the research evidence is supportive of the effect that VVG's have in motivating aggressive behaviours (Anderson et al., 2010). Specifically, having previously read the introductory segment about the Columbine high school massacre, you may be thinking that not only do VVG's motivate aggressive behaviour, but they are also a significant factor. However, is this case? Do VVG's really play a significant role in determining aggression?
Although there is a slight propensity for individuals who play VVG's to be more aggressive, there is strong evidence to suggest this effect is less significant than proposed (Kirsh, Olczak, & Mounts, 2005). In regards to the Columbine incident, it is important to realise that both individuals experienced mental health issues prior to the shooting. This finding exemplifies the fact that the debate surrounding VVG's is not as black and white as the literature suggests. This is due to the belief that there may be more important factors that need to be considered and prioritised when examining the affect that VVG's have. Therefore, to sum up the chapter, yes VVG's are responsible for motivating aggression, however the extent of this influence is less clear and warrants further investigation.
Guidelines for playing violent video games
Are your children obbsessed with violent games? Here are some take-home instructions of dealing with children who constantly play VVG's:
- Limit and restrict access to the violent games (the longer the exposure, the stronger the influence).
- Promote the use of non-violent games (Positive games can have positive implications for children).
- Suggest and explore alternative recreational activities (e.g., sports, reading, hobbies etc.).
- Alter positive perception about how "cool" games with violent content are. This is hypothesised to disrupt the social acceptance of violent games.
- Don't reward good behaviour with the promise of violent games.
See also
- Aggression (Book chapter, 2011)
- Criminality (Book chapter, 2011)
- Dealing with conflict (Book chapter, 2011)
References
Anderson, C. A., & Bushman, B. J. (2001). Effects of violent video games on aggressive behavior, aggressive cognition, aggressive affect, physiological arousal, and prosocial behavior: A meta-analytic review of the scientific literature. Psychological Science,12(5), 353-359. doi:10.1111/1467-9280.00366
Anderson, C. A., & Dill, K. E. (2000). Video games and aggressive thoughts, feelings, and behavior in the laboratory and in life. Journal of Personality and Social Psychology, 78(4), 772-790. doi:10.1037/0022-3514.78.4.772
Anderson, C. A., Shibuya, A., Ihori, N., Swing, E. L., Bushman, B. J., Sakamoto, A., & ... Saleem, M. (2010). Violent video game effects on aggression, empathy, and prosocial behavior in Eastern and Western countries: A meta-analytic review. Psychological Bulletin, 136(2), 151-173. doi:10.1037/a0018251
Arriaga, P., Esteves, F., Carneiro, P., & Monteiro, M. (2008). Are the effects of unreal violent video games pronounced when playing with a virtual reality system?. Aggressive Behavior, 34(5), 521-538. doi:10.1002/ab.20272
Bluemke, M., Friedrich, M., & Zumbach, J. (2010). The influence of violent and nonviolent computer games on implicit measures of aggressiveness. Aggressive Behavior, 36(1), 1-13. doi:10.1002/ab.20329
Bushman, B. J., Rothstein, H. R., & Anderson, C. A. (2010). Much ado about something: Violent video game effects and a school of red herring: Reply to Ferguson and Kilburn (2010). Psychological Bulletin, 136(2), 182-187. doi:10.1037/a0018718
Carnagey, N. L., & Anderson, C. A. (2005). The Effects of Reward and Punishment in Violent Video Games on Aggressive Affect, Cognition, and Behavior. Psychological Science, 16(11), 882-889. doi:10.1111/j.1467-9280.2005.01632.x
Carnagey, N. L., Anderson, C. A., & Bartholow, B. D. (2007). Media violence and social neuroscience: New questions and new opportunities. Current Directions in Psychological Science, 16(4), 178-182. doi:10.1111/j.1467-8721.2007.00499.x
English, H. B., & English, A. C. (1958). A comprehensive dictionary of psychological and psychoanalytical terms. New York: Longmans, Green & Company.
Ferguson, C. (2007). The good, the bad and the ugly: A meta-analytic review of positive and negative effects of violent video games. Psychiatric Quarterly, 78(4), 309-316. doi:10.1007/s11126-007-9056-9
Ferguson, C. J. (2008). The school shooting/violent video game link: Casual relationship or moral panic? Journal of Investigative Psychology and Offender Profiling, 5(1-2), 25- 37. doi:10.1002/jip.76
Ferguson, C. J., & Rueda, S. M. (2010). The Hitman study: Violent video game exposure effects on aggressive: behavior, hostile feelings, and depression. European Psychologist, 15(2), 99-108. doi:10.1027/1016-9040/a000010
Greitemeyer, T., Osswald, S., & Brauer, M. (2010). Playing prosocial video games increases empathy and decreases schadenfreude. Emotion, 10(6), 796-802.doi:10.1037/a0020194
Huesmann, L. (2010). Nailing the coffin shut on doubts that violent video games stimulate aggression: Comment on Anderson et al. (2010). Psychological Bulletin, 136(2), 179- 181. doi:10.1037/a0018567
Hummer, T. A., Wang, Y., Kronenberger, W. G., Mosier, K. M., Kalnin, A. J., Dunn, D. W.,& Mathews, V. P. (: 2010). Short-term violent video game play by adolescents alters prefrontal activity during cognitive inhibition. Media Psychology, 13(2), 136-154. doi:10.1080/15213261003799854
Krahé, B., Möller, I., Huesmann, L., Kirwil, L., Felber, J., & Berger, A. (2010). Desensitization to media violence: Links with habitual media violence exposure, aggressive cognitions, and aggressive behavior. Journal of Personality and Social Psychology, doi:10.1037/a0021711
Kirsh, S. J., Olczak, P. V., & Mounts, J. W. (2005). Violent Video Games Induce an Affect Processing Bias. Media Psychology, 7(3), 239-250. doi:10.1207/S1532785XMEP0703_1
Olson, C. K., Kutner, L. A., & Warner, D. E. (2008). The role of violent video game content in adolescent development: Boys' perspectives. Journal of Adolescent Research, 23(1), 55-75. doi:10.1177/0743558407310713
Staude-Müller, F., Bliesener, T., & Luthman, S. (2008). Hostile and hardened? An experimental study on (de-)sensitization to violence and suffering through playing video games. Swiss Journal of Psychology/Schweizerische Zeitschrift für Psychologie/Revue Suisse de Psychologie, 67(1), 41-50. doi:10.1024/1421-0185.67.1.41
Unsworth, G., Devilly, G. J., & Ward, T. (2007). The effect of playing violent video games on adolescents: Should parents be quaking in their boots?. Psychology, Crime & Law,13(4), 383-394. doi:10.1080/10683160601060655
Weber, R., Ritterfeld, U., & Mathiak, K. (2006). Does playing violent video games induce aggression? Empirical evidence of a functional magnetic resonance imaging study. Media Psychology, 8(1), 39-60.
Williams, D., & Skoric, M. (2005). Internet Fantasy Violence: A Test of Aggression in an Online Game. Communication Monographs, 72(2), 217-233.doi:10.1080/03637750500111781

