Motivation and emotion/Book/2011/Shame
Understanding and managing feelings of shame
Overview



| “ | Shame is about the whole self. |
” |
When the concept of shame crops up in ordinary conversation, it tends to be as an important quality we see lacking in others rather than ourselves. The thief who robs the pensioner "has no shame"; someone who steps over perceived boundaries of public propriety may be labelled "shameless"; protesters may be seen pointing an accusing finger of shame at the Government which they believe has failed them; or there may be talk of "naming and shaming" those who have covered up some offence against a moral code. These examples suggest that shame plays a regulatory role in social or moral terms. However, they do not provide a full account of what it means to actually experience shame.
Experiences of such a powerful negative emotion as shame can be very challenging to recall and even more difficult to disclose. When shame plays a major role in daily lived experience, the situation can be even more painful. This chapter is intended to help you understand how shame works and explore ways to manage this intense emotion effectively.
Scenarios
These three scenarios are intended to help you to think about what it means to experience shame.
|
Scenario 1
Lisa's story![]() |
|
Scenario 2
Ms Tweet's story![]() |
|
Scenario 3
Mr Trev's story![]() |

Now that you have read their stories...
- Have you ever felt like Lisa, Ms Tweet or Mr Trev?
- Would you have described this feeling as shame - or something else?
- Did you ever wonder why you felt this way?
- Did you ever wonder if there was a better way to cope with these feelings?
These are some of the questions we'll be explore in this chapter: Avoiding the shame game.
What is shame?

Shame is considered to be part of a set of self-conscious emotions which also includes guilt, embarrassment, social anxiety and pride (Leary, 2007). This suite of emotions are grouped together because they all involve making some sort of evaluation of ourselves based on how we expect real or imagined others are judging us (Leary). It is not classed as a core emotion: we are not born with the ability to make these types of judgements (Tangney, Stuewig,& Mashek, 2007). These emotions therefore rely on our development of objective self-awareness, an ability to make inferences about the views of others, as well as internalised standards against which we evaluate ourselves (Leary; Lewis, 1995, p. 91; Tangney et al., 2007).
With shame, an intensely painful emotion, the result of this evaluation is the feeling that our entire self is defective (Tangney et al., 2007). This may be referred to as "internal shame" (Brown, Linehan, Comtois, Murray, & Chapman, 2009). Shame also exposes us as flawed and vulnerable to others who we believe react to this imperfect self with contempt and disgust (Lewis, 1995). This "external shame" drives the desire to conceal the flawed aspects of ourselves from others to avoid potential rejection (Brown, et al., 2009). It is also possible to experience shame vicariously through the actions of others closely associated with us, such as if a family member or friend were found to be a paedophile (Leary, 2007).

Going back to our scenarios
- If Lisa thinks that she has let everyone down by not being able to play the piano, that her family thinks less of her because of it, that this makes her a bad girl in some way, then she is probably feeling shame.
- If Ms Tweet believes that her insulting comment means Mr Happy now views her with contempt, that she is a horrible person, then at least part of what she is feeling is probably shame.
- If Mr Trev believes being a good breadwinner is what makes you a man and that everyone else is judging him a complete failure because he is unemployed, he is likely to be experiencing shame.
What do you think?
The shamed body and brain: Physiological changes associated with shame
Explore? ![]() A series of Facial Action Coding System (FACS) photographs of people showing typical expressions of the self-conscious emotions of shame, embarrassment and pride have recently been tested and developed (Tracy, Robins & Schriber, 2009). These photos along with those for other emotions, such as anger and disgust, can be viewed at UC Davis Set of Emotion Expressions. |

The experience of shame is associated with changes to emotional expression, physical reactions, body chemistry, and brain activity (Beer, Heerey, Keltner, Scabini & Knight, 2003; Leary, 2007; Lewis, 1971; Tangney et al., 2007; Tracy, Robins & Schriber, 2009). The most obvious changes relate to emotional expression and some physical reactions:
- The person adopts a shame posture)which involves making the body into as small a target as possible by lowering the head, curving the spine, and closing the eyes or averting the gaze (Beer et al. 2003; Leary; Lewis; Tangney et al.;Tracy, et al., 2009).
- Other observable changes include nervous smiling, blushing, sweating or tears (Leary, 2007; Lewis, 1971).
The changes that occur within the body are more subtle. Tangney and colleague's (2007) comprehensive review points to emerging evidence that shame is associated with increased cortisol levels, heightened immune response, and higher levels of cardiovascular reactivity (increased heart rate and blood pressure). Cortisol helps the body access extra energy stores by raising blood sugar levels (Dickerson et al., 2004). The heightened immune response involves proinflammatory cytokines which are associated with "sickness behaviours" (Dickerson et al.; Slavich, O'Donovan, Epel & Kemeny, 2010). In other words, like someone with a bad cold, the shamed person may feel lethargic, with a decreased desire for physical exertion or social interaction (Dickerson et al.; Slavich et al., 2010). These changes may help the body prepare to respond to the shaming situation, providing additional motivation needed to withdraw from a potentially damaging social threat (Dickerson et.al; Slavich et al.). Shame is a particularly strong trigger of this stress response (Dickerson et al.). The chapter on Handling Stress covers the neurological aspects of stress in more detail.

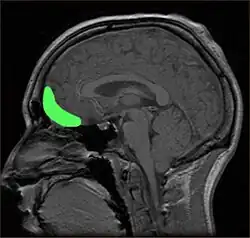
Within the brain, there is some support for the role of the orbitofrontal cortex (OFC) in producing self-conscious emotions, such as shame (Beer, et al., 2003; Leary, 2007; Sturm, Ascher, Miller, & Levenson, 2008). People with damage to the OFC have shown impairments in both the ability to appropriately express self-conscious emotions, such as shame, and in their social behaviour (Beer et al.). In Beer and colleagues' (2003) study, participants with OFC damage were more likely to overshare intimate information on a disclosure task, for example, telling about cheating on their partner, whereas other participants gave more guarded answers, such as being embarrassed when they did not understand a punchline. Those with OFC damage were also less likely to recognise self-conscious emotions on a recognition test than participants without any damage, although there was no difference between the groups in recognising other emotions (Beer et al.). This inability to correctly detect others' emotional responses suggests people with OFC damage may be missing important signals that their behaviour is inappropriate, such as others' embarrassment (Beer et al.). However, since others do not have to be real or physically present for a person to experience shame or the other self-conscious emotions, this suggests damage impairs the ability to correctly infer others' reactions to behaviour (Beer et al.).
Shame, guilt and embarrassment - Spot the differences
Although shame, guilt and embarrassment are all negative self-conscious emotions, there are important differences between them (Keltner & Busnell, 1996). Shame can be distinguished from guilt on a number of dimensions, as the table below shows (Kim, Thibodeau & Jorgenson, 2011). A key difference is that shame arises from a person's evaluation of their whole self, rather than a specific action (Tangey et al. 2007; Leary, 2007). If I feel like a bad person, that is shame; if I feel bad about something I did, that is guilt (Leary, 2007).
| Dimension | Shame | Guilt |
|---|---|---|
| Object of negative evaluation | The global self | Specific behaviour |
| Direction of attentional focus and focus of distress | Inward, toward the self | Outward, towards relationship partners |
| Phenomenology | Feeling "small" and inferior, helpless, powerless, feeling exposed | Tension, regret, remorse, other-oriented concern |
| Action tendencies | Avoid, hide, withdraw, escape, isolate, a desire to disappear | Approach, amend, repair, confess, apologize |
| Accompanying emotions | Anger, anxiety, (self-)disgust; typically more painful | Sorrow, empathy; typically less painful |
| Centrality of public exposure | High | Low |
| Attributional pattern | Internal, stable, global,uncontrollable | Internal, unstable, specific, controllable |
| Evolutionary origins | Evolved as part of the rank system | Evolved as part of the caring system |
| Function | Repair reputation | Repair damaged relationship |
| Adapted from Kim, Thibodeau and Jorgenson (2011) | ||
Sometimes the differences between embarrassment and shame are not described very clearly or even recognised (Keltner & Busnell, 1996). While both shame and embarrassment seem concerned with the judgement of others, there is a distinct body language of embarrassment(Tracy et al., 2009). Although the head is turned down in embarrassment, as it would be for shame, it is tilted sideways and the person has a small sheepish smile which is sometimes combined with a hand touching the face (Tracey et al.). Embarrassment is also recognised as a less intense emotion than shame and one of shorter duration (Tangney & Dearing, 2004; Leary, 2007). The types of situations in which embarrassment occurs tend to be merely socially awkward, for example, tripping in public, minor loss of bodily control or otherwise becoming conspicuous (Leary; Tangney et al., 2007).

Going back to our scenarios
- How would the situation have to change, if at all, for Lisa to feel guilt instead of shame?
- Do you think Ms Tweet was guilty as well as shamed? And if so, why?
- Do you think Mr Trev was more embarrassed than shamed?. And if so why?
What do you think?
Why we experience shame: Theoretical perspectives
Evolutionary theory

The basic evolutionary perspective is that emotions have an adaptive purpose - they evolved to help us survive (Dickerson et al., 2004). Self-conscious emotions are concerned with our social survival (Beer, et al., 2003; Dickerson et al., 2004). Negative self-conscious emotions including shame, punish socially unacceptable behaviour while a positive self-conscious emotion, such as pride, act as a reward for socially valued behaviour (Beer, et al.; Dickerson et al.). However, the adaptive qualities of shame go beyond trying to get us to avoid socially unacceptable behaviour by making us feel bad.
Evolutionary theorists argue that experiencing shame actually helps us to avoid the consequences of acting inappropriately (Beer et al., 2003; Dickerson et al., 2004). Just as fear can help us prepare to face a physical danger by inducing a flight or fight reaction, shame literally shapes an adaptive response to social threats (Beer et al; Dickerson et al.). The physical manifestation of shame is the humble posture required to appease those who have been offended by the bad behaviour (Beer et al.; Dickerson et al.). This posture has been compared to appeasement behaviours in other species, such as primates, which signal the desire to avoid conflict with other group members (Beers et al.; Dickerson, et al.; Leary, 2007). Shamed people often express the desire to disappear, hide or escape from the shaming situation (Dickerson et al.; Tangney & Dearing, 2004; Tangney et al., 2007). The submissive posture coupled with the desire to withdraw is meant to reduce social tension and decrease the likelihood that the offended person will attack (Dickerson et al.).
Cognitive Attributional Theory
Cognitive Attributional Theory (CAT) regards shame as the outcome of three sets of cognitive activities: standards, rules and goals; the evaluation of success or failure against these goals; and attribution to self (Lewis, 1995, pp. 64-83). The standards vary between cultures, different social and age groups and within individuals (Lewis, p. 65). Children's socialisation experiences play a large part in which standards they internalise and the type of attributions they make about themselves (Lewis, p. 109).

By around age three, children have normally internalised their own set of standards and may feel uncomfortable or upset if they fail to live up to them (Lewis, p. 67). They have also developed self-awareness by this age, an important step in making attributions to self (Lewis, p. 48). These attributions are about whether the success or failure is global, involving the whole self, or merely specific, involving a single action (Lewis, p. 72-73). Whether the child blames themselves (internal blame) or others (external blame) is also part of CAT, with younger children more likely to opt for internal blame (Lewis, pp. 100-102). The table below maps out the different emotional outcomes depending on attributional style, success or failure. Shame occupies the quadrant which involves failure attributed globally to the self.
|
Cognitive Attribution Theory Table
| ||||||||||||
CAT has been so highly influential in the study of shame and self-conscious emotions, that it is difficult to define these emotions without reference to it. CAT also forms the basis for key instruments, such as the Test of Self-Conscious Affect (TOSCA) which distinguishes between shame and guilt (Luyten, Fontaine, & Corveleyn, 2002; Tangney & Dearing, 2004). The TOSCA itself has been criticised for downplaying the maladaptive aspects of guilt and the adaptive aspects of shame (Luyten et al., 2002). However, it is difficult to fault the TOSCA or its theoretical underpinnings, given the growing evidence base supporting the distinctions it makes (Dearing, Stuewig, & Tangney, 2005; Kim et al., 2011; Leary, 2007; Highfield, Markham, Skinner & Neal, 2010).

Going back to our scenarios
- Which theory, evolutionary or cognitive, best fits the experiences of Lisa, Ms Tweet and Mr Trev?
- What benefits, if any, did each gain from feeling shame?
- Could anything have made a difference to how they felt?
- What do you think?
How to deal with shame
Does experiencing shame have any benefits?
|
Explore? ![]() Find out about embracing what makes you vulnerable |
Shame can play an important role in helping us manage interpersonal relationships, ensuring that we moderate our behaviour in ways that acknowledge that we act within a broader social context (Beer, et al., 2003; Dickerson et al., 2004). Certainly, those whose ability to feel shame or other self-conscious emotions is impaired or disrupted often have difficulties with basic social functioning many of us take for granted (Beer et al.). The physiological reactions associated with shame may sometimes help us avoid conflict or minimise the impact of hostile social situations (Beer et al.).
Shame may have helped humans survive in evolutionary terms. However, shame is effectively a short term strategy in terms of interpersonal relationships. The body of research evidence suggests that guilt rather than shame tends to be the more morally effective emotion (Tangney et al., 2007). Unlike shame, guilt is more likely to encourage patterns of behaviour which involve empathy for others, accepting responsibility for mistakes, saying sorry and making amends (Tangney et al.). Indeed, some researchers, assert that shame has few if any benefits, getting in the way of our feelings of worth and our ability to connect with others and belong (Brown, 2006).
Although shame itself is not a diagnosis, it can be a problematic emotion for many individuals today, with substantial empirical evidence linking shame to a range of psychological and physical health issues (Brown, et al., 2009; Highfield, Markham, Skinner & Neal, 2009; Kim, et al., 2011; Tangney,2007; Tangney, et al., 2004; Tracy & Robins, 2004). These include:
- alcoholism,
- eating disorder symptoms,
- posttraumatic stress disorder,
- male violence,
- anxiety,
- suicide and suicidal ideation,
- low self-esteem,
- chronic anger,
- depression,
- health problems arising from social stigmatisation, and
- personality disorders, such as narcissism or borderline personality disorder.
Chances are either you or someone you know has struggled with feelings of shame at some point in their life. Sometimes the shame is obscured by a more obvious emotion, like anger. Shame and anger are closely connected, with recent research confirming this applies across all age groups (Lewis, 1971; Tangney, et al., 2007; Tangney & Dearing,2004). In feeling shamed, the whole self is globally judged as "bad" by real or perceived others (Tangey & Dearing). As a result, the shamed person may feel unfairly judged, in that he or she has no control over their entire being and therefore no way of remedying the situation (Tangney, et al.). In these circumstances, anger may be directed outwards towards those others seen to be doing the judging (Tangney & Dearing). This can have devastating effects within relationships, with some couples becoming locked into a mutually destructive pattern of behaviour called a shame-rage spiral (Lewis, 1971; Tangney et al.).
Sometimes a major psychological issue, such as depression can obscure the issue of shame. There is also substantial evidence based on over 20 years of studies and over 20,000 research participants which connects shame with depression (Kim et al., 2011). Shame alone was significantly correlated with depression (r = .36) whereas guilt alone was not (Kim et al.). These results overturn accepted thinking about the respective roles of shame and guilt in depression (Kim et al.). Various explanations for the link between shame and depression have been offered including decreased social support, social conflict, self-focussed rumination and unhelpful attribution patterns (Kim et al.). However, there is not enough evidence as yet to clearly support any single theory (Kim et al.).
How do we cope with shame when it is hurting us or the people we care about?
|
Explore? Interested in learning how to develop a more compassionate response to your own flaws and failings? Try this compassionate mind imaging exercise. ![]() Interested in exploring methods used in Rational Emotive Behaviour Therapy, check out this hilarious yet moving |
There are lots of ways to get help if you or a loved one are dealing with difficult and shameful feelings. Here are just a few:
- People who are struggling with feelings of shame can be harshly self-critical and self-loathing (Gilbert & Procter, 2006). Compassionate Mind Therapy (CMT) is one method that is being used to help people learn how to soothe this inner critical voices (Gilbert & Proctor). CMT aims to activate the body's natural oxytocin-opiate system which produces feelings of safeness, lowers stress and cortisol levels and diminishes feelings of shame (Gilbert & Procter). Learning focuses on developing caring, sympathy, empathy, non-judgement, sensitivity, distress tolerance and skills of compassion (Gilbert, 2009).
- Lewis (1995) suggests that the best way of getting rid of shame is to own it, not deny it. His advice is to confess it, feel it and forget it, or find a way to laugh about it. After all, everyone has a secret they are afraid to share.
- Finally, Tangney & Dearing (2004) offer advice to help parents avoid shaming their children:
- focus on the behaviour, not the child.
- emphasise consequences for others.
- support children to make amends.
- avoid public punishment which can be humiliating.
- do not use sarcasm or anything but lighthearted teasing.
- make sure discipline occurs in a loving context that also provides positive feedback.
Summary
Shame may have been an evolutionary necessity but if it continues to strike at the core of who you are, you can get help to learn to manage shame and:
Value connection
Embrace difference without judging
Be yourself
Trust someone with your secrets
Take emotional risks
Laugh out loud
Quiz
|
|
See also
- Emotional control vs. emotional expressiveness (Book chapter, 2011)
- Empathy (Book chapter, 2011)
- Motivation_and_emotion/Book/Relationships_and_happiness (Book chapter, 2011)
- Self-efficacy (Book chapter, 2011)
- Shame (Wikipedia)
References
Beer, J. S., Heerey, E. A., Keltner, D., Scabini, D., & Knight, R. T. (2003). The regulatory function of self-conscious emotion: Insights from patients with orbitofrontal damage. Journal of personality and social psychology, 85, 594-604. doi: 10.1037/0022-3514.85.4.594
Brown, B. (2006). Shame resilience theory: A grounded theory study on women and shame. Families in Society, 87, 43-43-52.
Brown, M. Z., Linehan, M. M., Comtois, K. A., Murray, A., & Chapman, A. L. (2009). Shame as a prospective predictor of self-inflicted injury in borderline personality disorder: A multi-modal analysis. Behaviour Research and Therapy, 47, 815-822. doi: 10.1016/j.brat.2009.06.008
Dearing, R. L., Stuewig, J., & Tangney, J. P. (2005). On the importance of distinguishing shame from guilt: Relations to problematic alcohol and drug use. Addictive Behaviors, 30, 1392-1404. doi: 10.1016/j.addbeh.2005.02.002
Dickerson, S. S., Gruenewald, T. L., & Kemeny, M. E. (2004). When the social self is threatened: Shame, physiology, and health. Journal of Personality, 72, 1191-1216. doi: 10.1111/j.1467-6494.2004.00295.x
Gilbert, P. (2009). Introducing compassion-focussed therapy. Advances in Psychiatric Treatment, 15, 199–208 doi: 10.1192/apt.bp.107.005264
Gilbert, P. & Procter, S. (2006). Compassionate Mind Training for people with high shame and self-criticism: Overview and pilot study of a group therapy approach. Clinical Psychology and Psychotherapy, 13, 353-379. doi: 10.1002/cpp.507
Highfield, J., Markham, D., Skinner, M., & Neal, A. (2010). An investigation into the experience of self-conscious emotions in individuals with bipolar disorder, unipolar depression and non-psychiatric controls. Clinical Psychology & Psychotherapy, 17, 395-405.
Keltner, D., & Buswell, B. N. (1996). Evidence for the distinctness of embarrassment, shame, and guilt: A study of recalled antecedents and facial expressions of emotion. Cognition and Emotion, 10, 155-171.
Kim, S., Thibodeau, R., & Jorgensen, R. S. (2011). Shame, guilt, and depressive symptoms: A meta-analytic review. Psychological Bulletin, 137, 68-96. doi: 10.1037/a0021466
Leary, M. R. (2007). Motivational and emotional aspects of the self. Annual Review of Psychology, 58, 317-344. doi: doi:10.1146/annurev.psych.58.110405.085658
Lewis, H. B. (1971). Shame and guilt in neurosis. Psychoanalytic Review, 58, 419-438
Lewis, M. (1995). Shame: the exposed self. New York: The Free Press.
Luyten, P., Fontaine, J. R. J., & Corveleyn, J. (2002). Does the Test of Self-Conscious Affect (TOSCA) measure maladaptive aspects of guilt and adaptive aspects of shame? An empirical investigation. Personality and Individual Differences, 33, 1373-1387. doi: 10.1016/s0191-8869(02)00197-6
Sturm, V. E., Ascher, E. A., Miller, B. L., & Levenson, R. W. (2008). Diminished self-conscious emotional responding in frontotemporal lobar degeneration patients. Emotion, 8, 861-869. doi: 10.1037/a0013765
Tangney, J. P. & Dearing, R. L., (2004). Shame and Guilt. New York: The Guildford Press.
Tangney, J. P., Stuewig, J., & Mashek, D. J. (2007). Moral Emotions and Moral Behavior. Annual Review of Psychology, 58, 345-372. doi:10.1146/annurev.psych.56.091103.070145
Tracy, J. L., & Robins, R. W. (2004). Putting the self into self-conscious emotions: A theoretical model. Psychological Inquiry, 15, 103-125. doi: 10.1207/s15327965pli1502_01
Tracy, J. L., Robins, R. W., & Schriber, R. A. (2009). Development of a FACS-verified set of basic and self-conscious emotion expressions. Emotion, 9, 554-559. doi: 10.1037/a0015766



