Motivation and emotion/Book/2010/Hunger motivation
| This page is part of the Motivation and emotion textbook. See also: Guidelines. |
Overview
Hunger is a need experienced by organisms. Hunger and eating involve a complex regulatory system of both short-term (glucostatic hypothesis) and long-term (lipostatic hypothesis, including set-point theory) regulation (Reeve, 2009).

Hunger

Introduction. We eat food in order to meet the body's need for energy and nutrients. This chapter explores hunger as a source of motivation for eating behavior. Simple models of how eating behavior is controlled assume that the brain can sense and respond to the amounts of energy-rich molecules circulating in the blood and/or stored in parts of the body such as the liver and adipose tissue. It has been hypothesized that hunger is increased by low levels of energy-providing molecules in the body. Eating food reduces hunger and produces satiety. The figure shown to the right on this page illustrates the balance between hunger and satiety. When food is readily available, people often eat when there is no real physiological need to consume food. People learn to eat periodically in anticipation of the body's need for fuel and nutrients. We often have the desire to eat (appetite) when there is no need to eat (hunger).
Ingestion and digestion of food causes physiological changes that involve production of satiety signals that move from the gut to the brain. Between meals, the satiety signals decrease and physiological processes associated with hunger (such as contraction of the empty stomach) occur and produce consciously experienced sensations that are associated with hunger and motivation to consume food (see Ciampolini and Bianchi). This chapter reviews the the control of human eating behavior and the physiological processes that control the balance between hunger and satiety.
Simple models of the relationship between hunger and eating suggest that the body can modulate hunger and satiety by sensing metabolic parameters such as blood glucose levels (see glucostatic hypothesis, below) and amounts of stored fat (see lipostatic hypothesis, below). In most human adults, the control processes that regulate:
1) eating behavior
and
2) the metabolism of energy-rich molecules
achieve a close match between the amount of consumed food and the caloric (energy) needs of the body.
Due to successful regulation of food intake and metabolism, only relatively small changes in body weight occur over long periods of time in healthy people. This maintenance of relatively stable body weight suggests the idea that there is a set point for body weight. This chapter explores motivation to eat with emphasis on the physiological mechanisms by which need to consume food is sensed and body weight is regulated.

What is the relationship between hunger and changes in how the body metabolizes energy-providing molecules? The two important energy-storage molecules are glycogen (particularly in liver cells) and triglycerides (in fat cells). When carbohydrates are consumed, excess newly absorbed sugar molecules can be stored as glycogen. Between meals, glucose can be released from glycogen and used to meet the body's energy demands (see Figure 1). Triglycerides stored in fat cells provide a much larger energy reserve than does glycogen. Fat levels change more slowly than glycogen levels and the amount of stored fat correlates with long-term increases in body weight that are associated with obesity. If stored glycogen is depleted then the body can shift from reliance on carbohydrate as the main energy source to using stored fat molecules as an energy source.
Glucostatic hypothesis. The glucostatic hypothesis is that glucose utilization as a fuel molecule has an important influence on appetite and eating behavior. For example, it could be that declines in blood glucose levels cause increased appetite and trigger eating. Such a physiological response to low blood glucose could be part of a negative feedback control mechanism for maintaining adequate energy supplies in the body. Alternatively, declines in
1) the amount of stored glycogen
and/or
2) decline in the ratio of utilizing stored carbohydrate to utilizing stored lipid for energy production
might function as orexigenic signals that enhance appetite (glycogenostatic hypothesis; see Melanson et al. for discussion of the glucostatic and glycogenostatic hypotheses).
There is evidence that sugar and lipid molecules from the blood can influence the behavior of brain cells (see below), but it is also true that changes in circulating levels of fuel molecules such as glucose are linked to changes in the levels of hormones. As indicated in Figure 1, blood glucose levels are tightly regulated in healthy humans and the concentration of glucose in the blood normally does not change very much. Blood glucose levels can increase during exercise due to feed-forward regulation, even while glycogen stores are depleted. It has been hard to demonstrate significant changes in brain neuron activity due to the relatively small changes in blood glucose levels that are typical of human physiology. Much research on appetite control now involves study of hormones that control metabolism of energy-providing molecules such as glucose.

During short periods of fasting between meals, blood levels of the hormone insulin decrease and levels of glucagon increase (see the Stryer textbook). Glucagon shifts liver metabolism from storage of glucose as glycogen to the release of glucose from stored glycogen. This allows the brain to be supplied with glucose by the liver between meals. During digestion of a meal, insulin levels increase (see Figure 2) and insulin plays an important role in the control of liver cell metabolism to promote the storage of excess glucose as glycogen. In the short term, insulin and glucagon levels in the blood are largely controlled by blood levels of nutrients (sugars and amino acids). Nutrients such as glucose, when absorbed into the body following a meal, stimulate insulin-producing pancreatic beta cells to release insulin into the blood.
Insulin. Insulin has been studied as one of the many hormones that might play a significant role in how the brain regulates appetite and body weight in humans (for example, see Anthony et al.). During digestion of meals, when blood insulin levels temporarily increase, insulin may play a role (along with other hormones like PYY, see below) as an anorexigenic hormone that contributes to satiety and reduced eating behavior. Over longer time scales that are relevant to the long-term maintenance of body weight, there can be persistent changes in blood insulin levels. In particular, obese humans often have persistent elevation of insulin levels which allows blood glucose levels to remain normal in non-diabetic individuals who store unusually large amounts of fat (see Polonsky et al.).

In one model of body weight regulation, insulin acts with leptin (see Figure 3 and below) to modulate the production and action of short-term hormonal regulators of appetite and body weight such as PYY (see Ahima and Antwi). The experience of needing to consume food is not tightly coupled to the storage of energy-rich molecules in the human body. After a meal is digested, blood levels of satiety-inducing hormones like insulin and PYY decrease and ghrelin (a stimulator of appetite, see below) levels increase. Between meals, people often experience a desire to consume more food even when levels of stored energy molecules are adequate. Thus, it is often easy for obese people to gain weight by eating when there is no real need to eat, that is, no actual hunger.
Blood insulin and leptin levels are usually elevated in obese individuals, but "resistance" to the effects of persistently high levels of these hormones is common. Resistance to the anorexigenic actions of insulin and leptin may play an important role in allowing body weight and fat storage to increase to unhealthful levels. Due to the many health problems associated with obesity, much biomedical research into hunger, appetite and satiety is concerned with the regulation of eating behavior by the brain in obese humans. In societies where hunger is rare it is important to understand how learning processes (for example, see Zhang et al.) build upon the basic physiology of hunger to produce modulated patterns of appetite and satiety that are associated with unhealthful eating behavior.

Nutrients. In addition to hormones that influence how the brain regulates appetite and body weight, brain cells can be influenced directly by circulating nutrient molecules (see the recent review by Lam et al.). For example, some brain neurons change their frequency of action potential production in response to changes in blood glucose levels. However, some peptide hormone molecules such as leptin and ghrelin have been shown to reach brain neurons, particularly in the hypothalamus, and regulation of appetite and eating behavior seems to involve both the levels of nutrient molecules and the level of hormones in the blood. Much current research on appetite and regulation of body weight is heavily concerned with hormonal regulation of brain cell activity, either by:
1) direct hormone binding to brain neurons
or
2) modulation of sensory neuron activity in the peripheral nervous system by hormones and nutrients acting at sensory nerve endings
with subsequent indirect effects (by way of sensory input) on the brain.
Hormones. Brain cell activity that is important for regulating metabolism, body weight and appetite has been shown to be influenced by several hormones. Three well-studied hunger-related hormones are leptin (reduces appetite), ghrelin (increases appetite) and PYY (reduces appetite). These hormones are released from fat cells (leptin) and the gastrointestinal (GI) tract (ghrelin, PYY) and they influence the activity of brain cells that regulate appetite. One target for these hormones is the hypothalamus, where neuronal activity is sensitive to leptin and ghrelin (see Figure 4). There is evidence that ghrelin and PYY influence neurons in the ventral tegmental area (VTA) of the midbrain, which might be important for regulation of the brain's "reward system" by anorexigenic hormones. It has been suggested that leptin acts on the hypothalamus and indirectly regulates midbrain dopamine neurons (see Leinninger et al.) that are involved in control of motivation and eating behavior.

Weight loss surgery. Results from study of bariatric surgery patients indicate an important role for signals from the stomach to the brain in the regulation of human body weight (see the recent review article by Pournaras and le Roux). Gastric bypass surgery is a successful treatment for obesity, resulting in dramatic weight loss for obese humans (see Figure 5). Some surgical procedures for weight loss are designed to inhibit absorption of food molecules into the body, but procedures that cause no change in the efficiency of calorie absorption are also effective. It appears that hormonal signals and sensory neuron signals from the gastrointestinal tract are important regulators of human appetite and body weight and these signals are altered by "metabolic surgery". The term "metabolic surgery" is used here to refer to effective surgical alterations to the gastrointestinal tract that are used to treat human obesity.
Ghrelin. Ghrelin is a peptide hormone made by the stomach. Levels of ghrelin in the blood normally increase between meals and levels fall after food is consumed (see Figure 2). In humans, if ghrelin levels in the blood are artificially increased (intravenous infusion) then more food is consumed and the test subjects report an increase in appetite (orexigenic action). Some evidence suggests that, on average, obese humans have less of a decrease in blood levels of ghrelin after meals, which might cause them to consume more food than non-obese people. In some cases, it has been reported that blood levels of ghrelin are decreased following "metabolic surgery" that alters the gastrointestinal tract, however, it might be that other signals passing from the GI tract to the brain are more important than ghrelin (see the recent review by Wisser et al.). Some of the effects of peripherally-synthesized ghrelin on the brain appear to be mediated by sensory neurons that have hormone-regulated activity. Ghrelin can also pass from the blood into the brain because the ghrelin peptide is acylated by the enzyme ghrelin-O-acyltransferase. The attached fatty acid seems to be essential for transfer of ghrelin across the blood-brain barrier.
PYY. Peptide YY (PYY) is produced mostly by the lower gastrointestinal tract (see the recent review article by Karra et al.). Some evidence suggests that PYY may partly mediate the reduced appetite and weight loss benefits observed in obese humans who are treated by gastric bypass surgery. Normally, blood levels of PYY increase following a meal (see Figure 2). Experiments that involve administration of PYY to human subjects indicate that it can reduce appetite and food consumption. There is evidence that following some types of "metabolic surgery", PYY levels are higher after meals, possibly contributing to enhanced satiety and, ultimately, sustained weight loss. It has been suggested that "metabolic surgery" enhances the signals that normally trigger PYY production following meals. Karra et al. discussed the idea that PYY probably acts in synergy with other gut hormones that cause satiety. A recent study by Field, et al. found additive anorectic effects of PYY and oxyntomodulin, two hormones released from intestinal L-cells after meals (see PYY3-36 and oxyntomodulin can be additive in their effect on food intake in overweight and obese humans).

Lipostatic hypothesis. It has been suggested that fat cells produce a control signal that allows for negative feedback regulation of food consumption and body weight (see Brown, 2008). In "adipostatic models" of body weight regulation, adipose tissue produces a control signal in proportion to the amount of stored fat and high levels of that signal might inhibit eating behavior (see discussion by Ahima and Antwi) and prevent obesity. Leptin is a peptide hormone made by fat cells and it seems to function as a regulator of body weight. Leptin became a candidate "lipostat" signaling molecule because mutations in the human leptin gene (see Congenital leptin deficiency is associated with severe early-onset obesity in humans) and the human gene for the leptin receptor (see see Kimber et al.) have been reported to cause obesity. Similar results were first obtained using laboratory animals (see Figure 6).
Leptin. Leptin appears to be efficiently transported by leptin receptor-mediated transcytosis across the capillary endothelial cell layer of the blood-brain barrier (see Pan and Kastin). Leptin receptors are present on some brain neurons. The leptin receptors in the hypothalamus, in particular, have been implicated in regulation of appetite and eating behavior, as discussed below. Peripherally administered leptin appears to cure congenital leptin deficiency (for example, see Farooqi et al.) and has been shown to cause weight loss in normal humans. However, administration of leptin has not proven to be a useful treatment for obesity (see the discussion by Foster-Schubert and Cummings).
Brain regions that are important for control of eating behavior. The vagus nerve carries control signals from the brain to the gastrointestinal tract that are important for stimulating smooth muscle contraction and secretion during digestion of a meal. The output axons of the vagus nerve originate from parasympathetic neurons located in the brain stem. The vagus nerve also carries sensory information to the brain from the gastrointestinal tract (see Figure 4). Sensory information from stretch receptors (important for sensing how full the stomach is) and hormone-sensitive nerve endings enter the brain by way of the the nucleus tractus solitarius (NTS) of the brain stem. Some regulation of GI tract function takes place at the level of the brain stem by means of reflexes that link sensory signals from the GI tract to the regulation of autonomic nervous system output signals that go from the brain stem to the GI tract.

Sensory information from the GI tract is also sent to higher brain centers from the NTS, particularly the hypothalamus. The hypothalamus was shown to be important for regulation of eating behavior by lesion studies in experimental animals in which tiny parts of the hypothalamus were destroyed (for example, see Anand and Brobeck). Results from the lesion studies were interpreted as indicating the existence of lateral regions of the hypothalamus that function as a "feeding control center"; if destroyed, the animals had reduced food consumption. Destruction of more medial parts of the hypothalamus caused overeating and obesity.
Some early brain lesion studies also indicated that eating behavior could be altered by damage to midbrain neurons that are located not far behind the hypothalamus. When leptin was identified as an anorexigenic hormone, the brain was searched for neurons with leptin receptors. For rodents, there is evidence that leptin acts to modulate neuron activity in the midbrain VTA, the hypothalamus and the brain stem NTS (see the recent review by Myers et al.). The dopamine (DA) neurons of the VTA are thought to be important for regulating eating decisions, for learned eating behavior and for providing a pleasurable sensation when appealing food is sensed and consumed.
In current models of the control of eating, the hypothalamus functions to receive and integrate orexigenic and anorexigenic signals (see Figure 7). The arcuate nucleus contains neurons that are sensitive to hormones such as ghrelin and leptin. Neurons in the arcuate nucleus send axons to other parts of the hypothalamus such as the paraventricular nucleus and the lateral hypothalamus. The paraventricular nucleus is important for regulating both energy metabolism and digestive system function. The paraventricular nucleus also receives sensory information from the GI tract. The paraventricular nucleus can function as a center for integration of satiety signals that reach the brain by either sensory neurons or hormones carried by the blood.
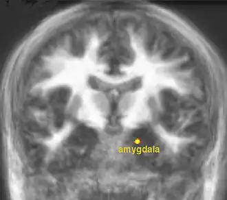
The lateral hypothalamus sends control signals to the VTA that are involved in regulation of eating behavior. The VTA and hypothalamus send regulatory signals to other brain regions such as the nucleus accumbens, orbitofrontal cortex (OFC) and the amygdala (Figure 8) that are important for control of human eating behavior, particularly in the context of learned patterns of food consumption that develop over a lifetime (see Piech et al.). For humans, Farooq et al. showed that leptin can modulate how the nucleus accumbens responds in test subjects who experience a desire to consume food, with the observed human brain activity changes corresponding to leptin-induced reduction in appetite.

Summary. Hunger plays a fundamentally important role in regulating human eating behavior. The brain can sense circulating levels of nutrients such as glucose and respond to satiety-producing hormones such as leptin. Other hormones such as grelin promote appetite. The aversive sensations associated with hunger can be produced by physiological processes such as the empty stomach being stimulated to contract. Sensory nerves carry appetite-enhancing signals to the hypothalamus and hormones such as leptin and ghrelin bind to receptors on neurons in the hypothalamus and regulate their activity. The hypothalamus acts as regulatory center for receiving orexigenic and anorexigenic signals. The hypothalamus is linked by axonal connections to other parts of the brain (such as the nucleus accumbens) that allow for reflexive control of eating in newborns. The hypothalamus is linked to other brain regions such as the amygdala and the ventral tegmental area that allow people to learn how to avoid hunger. People are usually able to learn patterns and habits of eating that are appropriate for our environment and that allow us to maintain a healthful body weight. Most research into hunger and satiety is related to health-endangering patterns of eating behavior such as under-eating and over-eating that leads to obesity.
Cited resources
- Textbook information about leptin. Leptin Secreted by Fat Cells Provides Negative Feedback to Inhibit Eating; chapter section from Molecular Biology of the Cell, 4th edition. Bruce Alberts, Alexander Johnson, Julian Lewis, Martin Raff, Keith Roberts and Peter Walter (2002).
Recent review articles about ghrelin, leptin, PYY.
- 1) Central nervous system regulation of energy metabolism: ghrelin versus leptin by Ruben Nogueiras, Matthias H. Tschöp and Jeffrey M. Zigman in Ann N Y Acad Sci. volume 1126, pages 14-19 (2008).
- 2) Brain Circuits Regulating Energy Homeostasis by Alfonso Abizaid and Tamas L. Horvath in Regulatory peptides volume 149, pages 3–10 (2008).
- Bariatric Surgery. Ghrelin and Metabolic Surgery by Dimitrios J. Pournaras and Carel W. le Roux in International journal of peptides 2010. pii: 217267.
- Glucose and hunger. Training to estimate blood glucose and to form associations with initial hunger by Mario Ciampolini and Riccardo Bianchi in Nutrition & metabolism volume 3, page 42 (2006). This article is cited in an introductory paragraph of this chapter as an example of research where human test subjects were challenged to pay attention to their subjective experience of hunger. To what extent can obesity be prevented by eating only when glucose levels have returned to baseline between meals?
- Lipostatic hypothesis Could there be a fine-tuning role for brain-derived adipokines in the regulation of bodyweight and prevention of obesity? by Russell E. Brown in McGill journal of medicine volume 11, pages 177–184 (2008).
- Leptin receptor mutation Functional Characterization of Naturally Occurring Pathogenic Mutations in the Human Leptin Receptor by Wendy Kimber, Frank Peelman, Xavier Prieur, Teresia Wangensteen, Stephen O'Rahilly, Jan Tavernier and I. Sadaf Farooqi in Endocrinology volume 149, pages 6043-6052 (2008)
- Insulin and BMI Quantitative study of insulin secretion and clearance in normal and obese subjects by K. S. Polonsky, B. D. Given, L. Hirsch, E. T. Shapiro, H. Tillil, C. Beebe, J. A. Galloway, B. H. Frank, T. Karrison and E. Van Cauter in Journal of Clinical Investigation volume 81, pages 435-441 (1988).
- Ghrelin antagonists. Interactions of Gastrointestinal Peptides: Ghrelin and Its Anorexigenic Antagonists by Anna-Sophia Wisser, Piet Habbel, Bertram Wiedenmann, Burghard F. Klapp, Hubert Mönnikes and Peter Kobelt in International journal of peptides 2010. pii: 817457.
- Leptin receptors in the brain. The geometry of leptin action in the brain: More complicated than a simple ARC by Martin G. Myers, Jr. Heike Münzberg, Gina M. Leinninger and Rebecca L. Leshan in Cell metabolism volume 9, pages 117–123 (2009).
- Leptin and dopamine. Leptin acts via leptin receptor-expressing lateral hypothalamic neurons to modulate the mesolimbic dopamine system and suppress feeding by Gina M. Leinninger, Young-Hwan Jo, Rebecca L. Leshan, Gwendolyn W. Louis, Hongyan Yang, Jason G. Barrera, Hilary Wilson, Darren M. Opland, Miro A. Faouzi, Yusong Gong, Justin C. Jones, Christopher J. Rhodes, Streamson Chua, Jr., Sabrina Diano, Tamas L. Horvath, Randy J. Seeley, Jill B. Becker, Heike Münzberg and Martin G. Myers, Jr. in Cell metabolism volume 10 pages 89–98 (2009).
- Leptin and weight loss. Effects of Recombinant Leptin Therapy in a Child with Congenital Leptin Deficiency by I. Sadaf Farooqi, Susan A. Jebb, Gill Langmack, Elizabeth Lawrence, Christopher H. Cheetham, Andrew M. Prentice, Ieuan A. Hughes, Mark A. McCamish and Stephen O'Rahilly in The New England journal of medicine volume 341, pages 879-884 (1999).
- Leptin as a drug. Emerging Therapeutic Strategies for Obesity by Karen E. Foster-Schubert and David E. Cummings in Endocrine reviews volume 27, pages 779-793 (2006).
- Brain regions involved in hunger. Neural Correlates of Appetite and Hunger-Related Evaluative Judgments by Richard M. Piech, Jade Lewis, Caroline H. Parkinson, Adrian M. Owen, Angela C. Roberts, Paul E. Downing and John A. Parkinson in PLoS One volume 4, e6581 (2009).
- Leptin and human brain activity. Leptin Regulates Striatal Regions and Human Eating Behavior by I. Sadaf Farooqi, Edward Bullmore, Julia Keogh, Jonathan Gillard, Stephen O'Rahilly and Paul C. Fletcher in Science volume 317, page 1355 (2007).
- Learning and motivation. A Neural Computational Model of Incentive Salience by Jun Zhang, Kent C. Berridge, Amy J. Tindell, Kyle S. Smith and J. Wayne Aldridge in PLoS computational biology volume 5, e1000437 (2009).
- Peptide YY. The role of peptide YY in appetite regulation and obesity by Efthimia Karra, Keval Chandarana and Rachel L Batterham in The Journal of Physiology volume 587, pages 19–25 (2009).
- Human hypothalamus. Chemically defined projections linking the mediobasal hypothalamus and the lateral hypothalamic area by Elias CF, Saper CB, Maratos-Flier E, Tritos NA, Lee C, Kelly J, Tatro JB, Hoffman GE, Ollmann MM, Barsh GS, Sakurai T, Yanagisawa M, Elmquist JK in The Journal of comparative neurology volume 402, pages 442-459 (1998).
- Brain effects of insulin. Attenuation of Insulin-Evoked Responses in Brain Networks Controlling Appetite and Reward in Insulin Resistance: The Cerebral Basis for Impaired Control of Food Intake in Metabolic Syndrome? by Karen Anthony, Laurence J. Reed, Joel T. Dunn, Emma Bingham, David Hopkins, Paul K. Marsden and Stephanie A. Amiel in Diabetes volume 55, pages 2986-2992 (2006).
- Hypothalamus lesions and eating. Hypothalamic Control of Food Intake in Rats and Cats by Bal K. Anand and John R. Brobeck in The Yale journal of biology and medicine volume 24, pages 123-140 (1951).
- Appetite and satiety. Brain regulation of appetite and satiety by Rexford S. Ahima and Daniel A. Antwi in Endocrinology and metabolism clinics of North America volume 37, pages 811–823 (2008).
- Insulin and metabolism. Food Intake and Starvation Induce Metabolic Changes chapter section 30.3 from Biochemistry, 5th edition by Jeremy M Berg, John L Tymoczko and Lubert Stryer (2002).
- CNS nutrient sensing. CNS Nutrient Sensing section of "CNS Regulation of Glucose Homeostasis" by Carol K. L. Lam, Madhu Chari and Tony K. T. Lam in Physiology volume 24, pages 159-170 (2009).
- Leptin transport. Adipokines and the blood-brain barrier by Weihong Pan and Abba J. Kastin in Peptides volume 28, pages 1317-1330 (2007).
- Glucose homeostasis. Appetite and blood glucose profiles in humans after glycogen-depleting exercise by Kathleen J. Melanson, Margriet S. Westerterp-Plantenga, L. Arthur Campfield and Wim H. M. Saris in Journal of Applied Physiology volume 87, pages 947-954 (1999). This article is cited in the chapter section about the glucostatic hypothesis because it provides an example of research that tried to discover associations between glucose and glycogen metabolism and the control of eating behavior in humans. It also has links to other articles about the glucostatic hypothesis and the glycogenostatic hypothesis.
- Glucose level. Effect of heat stress on glucose kinetics during exercise by Mark Hargreaves, Damien Angus, Kirsten Howlett, Nelly Marmy Conus, and Mark Febbraio in Journal of Applied Physiology volume 81, pages 1594-1597 (1996).
- Glycogen level after exercise. Effect of carbohydrate ingestion on glycogen resynthesis in human liver and skeletal muscle, measured by 13C MRS by Anna Casey, Rob Mann, Katie Banister, John Fox, Peter G. Morris, Ian A. Macdonald, and Paul L. Greenhaf in Am J Physiol Endocrinol Metab volume 278, pages E65-E75 (2000).
- Glycogen level recovery after exercise. Muscle glycogen recovery after exercise during glucose and fructose intake monitored by 13C-NMR by Adrianus J. Van Den Bergh, Sibrand Houtman, Arend Heerschap, Nancy J. Rehrer, Hendrikus J. Van Den Boogert, Berend Oeseburg, and Maria T. E. Hopman in Journal of Applied Physiology volume 81, pages 1495-1500 (1996). Figure 1 graphically illustrates recovery of glycogen levels using data from Table 1 of Van Den Bergh et al.
- PYY and ghrelin Weight loss during oligofructose supplementation is associated with decreased ghrelin and increased peptide YY in overweight and obese adults by Jill A. Parnell and Raylene A. Reimer in Am J Clin Nutr volume 89, pages 1751-1759 (2009).
- Glucose and insulin Effect of source of dietary carbohydrate on plasma glucose and insulin responses to test meals in normal subjects by A Coulston, M Greenfield, F Kraemer, T Tobey and G Reaven in American Journal of Clinical Nutrition volume 33, pages 1279-1282 (1980).
Defined terms
- Abbreviations: AR = arcuate nucleus ("AR" and some other abbreviations are used only in Figure 7), CS = conditioned stimulus, GI = gastrointestinal, NTS = nucleus tractus solitarius, OFC = orbitofrontal cortex, PYY = peptide YY, UCS = unconditioned stimulus, VTA = ventral tegmental area
- Anorexigenic. Decreases appetite. Example: the peptide hormone PYY.
- Appetite. The desire to eat.
- Glucostatic hypothesis. The glucostatic hypothesis says that hunger is stimulated, at least in part, by decreased blood glucose levels or changes glucose utilization rates.
- Hormone. A molecule produced and released by a cell that travels to distant target cells by transport through the blood. The target cells have specific receptors that bind to the hormone and alter the physiology of the target cells.
- Hunger. The need to eat.
- Lipostatic hypothesis. The lipostatic hypothesis says that there is less hunger and decreased eating when the body has enough stored lipids.
- Orexigenic. Increases appetite. Example: the peptide hormone ghrelin.
- Satiety. The sensation of fullness or being well fed.

See also
- Hunger (motivational state) (Wikipedia)
- Overeating motivation (Book chapter, 2010)
- Maslow's hierarchy of needs (Book chapter, 2010)
- The human hypothalamus at the Human Brain Atlas of Michigan State University. Shows the anatomical positions of major parts of the hypothalamus like the arcuate nucleus.
- Regulation of body fat content? an interesting historical perspective on the lipostatic hypothesis by George N. Wade.
On this page:
- Hunger
- Cited resources
- Defined terms
- See also
- Figures: Balance between hunger and satiety - Blood glucose levels are regulated - Changes in glucose and hormone levels after a meal - Anorexigenic and orexigenic signals - The brain and hunger - Body weight change - Obese mouse - Hormones, neurotransmitters and brain regions involved in hunger, satiety and the regulation of eating behavior - Human brain activity
