| Bile duct hamartoma | |
|---|---|
|  | |
| Histopathology of a bile duct hamartoma, low magnification, H&E stain, showing a well demarcated lesion. | 
A bile duct hamartoma or biliary hamartoma, is a benign tumour-like malformation of the liver.
They are classically associated with polycystic liver disease, as may be seen in the context of polycystic kidney disease, and represent a malformation of the liver plate.[1]
Cause
Bile duct hamartomas are a developmental anomaly in which abnormal tissues are present at normal site due to failure of regression of embryonic biliary duct.
Diagnosis
 Histopathology of a bile duct hamartoma, high magnification, H&E stain. It shows typical features of bile duct hamartoma: Histopathology of a bile duct hamartoma, high magnification, H&E stain. It shows typical features of bile duct hamartoma:
 von Meyenburg Complex in ultrasound. Numerous little cysts with ringdown artefacts. von Meyenburg Complex in ultrasound. Numerous little cysts with ringdown artefacts.
At CT scans, bile duct hamartomas appear as small, well-defined hypo- or isoattenuating masses with little or no enhancement after contrast administration.[2] At MRI, they appear hypointense on T1-weighted images, iso- or slightly hyperintense on T2-weighted images, and hypointense after administration of gadolinium based contrast-agent.[2] On imaging, multiple hamartomas may look similar to metastases or microabscesses.
Treatment
Observation as there is increased risk of cholangiocarcinoma.
Eponym
The eponymous terms (von Meyenburg complex, Meyenburg complex) are named for Hanns von Meyenburg.[3][4]
Additional images
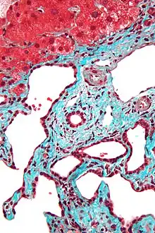
 Micrograph of a bile duct hamartoma. Trichrome stain. Intermediate magnification Micrograph of a bile duct hamartoma. Trichrome stain. Intermediate magnification
 Micrograph of a bile duct hamartoma. Trichrome stain, high magnification Micrograph of a bile duct hamartoma. Trichrome stain, high magnification
 Low magnification micrograph of a bile duct hamartoma. Trichrome stain. Low magnification micrograph of a bile duct hamartoma. Trichrome stain.
 Gross pathologic appearance of a large bile duct hamartoma. Gross pathologic appearance of a large bile duct hamartoma.
See also
References
- ↑ Desmet, VJ (Jan 1998). "Ludwig symposium on biliary disorders--part I. Pathogenesis of ductal plate abnormalities". Mayo Clin Proc. 73 (1): 80–9. doi:10.4065/73.1.80. PMID 9443684.
- 1 2 Horton, KM; Bluemke, DA; Hruban, RH; Soyer, P; Fishman, EK (Mar–Apr 1999). "CT and MR imaging of benign hepatic and biliary tumors". Radiographics. 19 (2): 431–51. doi:10.1148/radiographics.19.2.g99mr04431. PMID 10194789.
- ↑ synd/1693 at Who Named It?
- ↑ H. von Meyenburg. Über die Zyztenleber. Beiträge zur pathologischen Anatomie und zur allgemeinen Pathologie, Jena, 1918, 64: 477-532.